Phone:
+1 877 302 8632
Fax:
+1 888 205 9894 (Toll-free)
E-Mail:
orders@antibodies-online.com

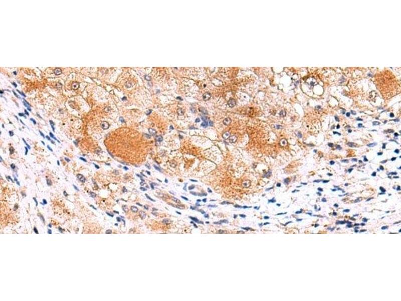
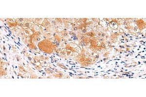
Intersectin 2 antibody

This Rabbit Polyclonal antibody specifically detects Intersectin 2 in ELISA and IHC. It exhibits reactivity toward Human and Mouse.
Catalog No. ABIN7245323
$538.80
Plus shipping costs $50.00
Shipping to: United States
Delivery in 11 to 15 Business Days

Quick Overview for Intersectin 2 antibody (ABIN7245323)

Target

See all Intersectin 2 (ITSN2) Antibodies
Intersectin 2 (ITSN2)

Reactivity

  • 19
  • 11
  • 3
  • 2
  • 1
  • 1
  • 1
  • 1
  • 1
Human, Mouse

Host

  • 18
  • 1
Rabbit

Clonality

  • 19
Polyclonal

Conjugate

  • 8
  • 2
  • 2
  • 1
  • 1
  • 1
  • 1
  • 1
  • 1
  • 1
This Intersectin 2 antibody is un-conjugated

Application

  • 8
  • 6
  • 4
ELISA, Immunohistochemistry (IHC)
  • Characteristics

    Polyclonal Antibody

    Purification

    Antigen affinity purification

    Immunogen

    Synthetic peptide of human ITSN2

    Isotype

    IgG
  • Application Notes

    IHC 1:40-1:200, ELISA 1:5000-1:10000

    Restrictions

    For Research Use only
  • Format

    Liquid

    Concentration

    1.08 mg/mL

    Buffer

    PBS with 0.05 % Sodium azide and 40 % Glycerol, pH 7.4

    Preservative

    Sodium azide

    Precaution of Use

    This product contains Sodium azide: a POISONOUS AND HAZARDOUS SUBSTANCE which should be handled by trained staff only.

    Storage

    -20 °C

    Storage Comment

    Store at -20°C. Avoid freeze / thaw cycles.
  • Target

    Intersectin 2 (ITSN2)

    Alternative Name

    ITSN2

    Background

    This gene encodes a cytoplasmic protein which contains SH3 domains. This protein is a member of a family of proteins involved in clathrin-mediated endocytosis. Intersectin 2 is thought to regulate the formation of clathrin-coated vesicles and also may function in the induction of T cell antigen receptor (TCR) endocytosis.

    UniProt

    Q9NZM3
You are here:
Chat with us!