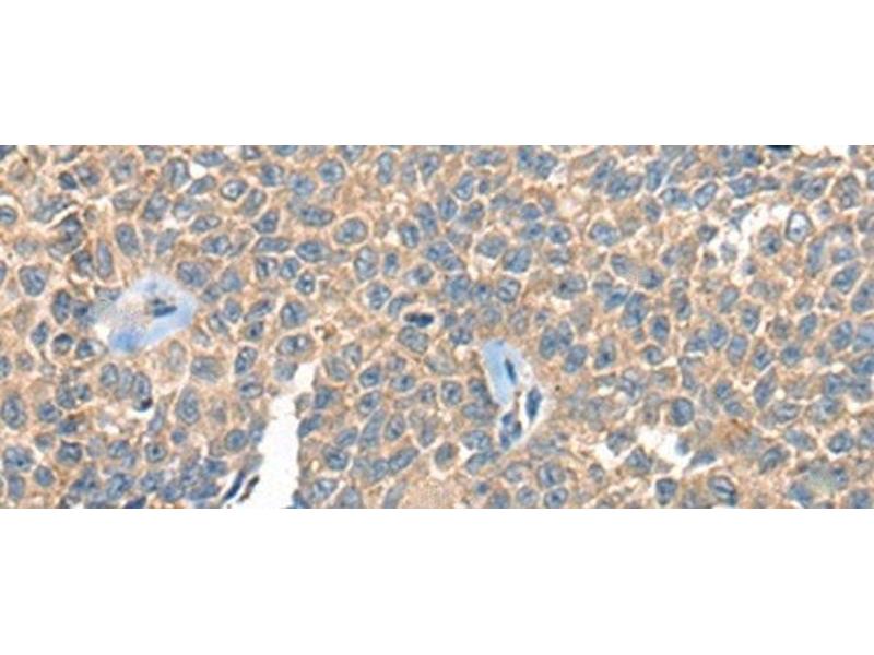
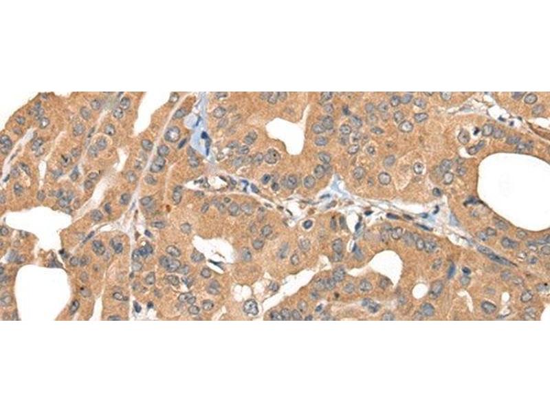
PPP3R1 antibody
Quick Overview for PPP3R1 antibody (ABIN7246115)
Target
See all PPP3R1 AntibodiesReactivity
Host
Clonality
Conjugate
Application
-
-
Characteristics
- Polyclonal Antibody
-
Purification
- Antigen affinity purification
-
Immunogen
- Full length fusion protein
-
Isotype
- IgG
-
-
-
-
Application Notes
- IHC 1:50-1:300, ELISA 1:5000-1:10000
-
Restrictions
- For Research Use only
-
-
-
Format
- Liquid
-
Concentration
- 1.2 mg/mL
-
Buffer
- PBS with 0.05 % Sodium azide and 40 % Glycerol, pH 7.4
-
Preservative
- Sodium azide
-
Precaution of Use
- This product contains Sodium azide: a POISONOUS AND HAZARDOUS SUBSTANCE which should be handled by trained staff only.
-
Storage
- -20 °C
-
Storage Comment
- Store at -20°C. Avoid freeze / thaw cycles.
-
-
- PPP3R1 (Protein Phosphatase 3, Regulatory Subunit B, alpha (PPP3R1))
-
Alternative Name
- PPP3R1
-
Background
- Regulatory subunit of calcineurin, a calcium-dependent, calmodulin stimulated protein phosphatase. Confers calcium sensitivity.
-
UniProt
- P63098
-
Pathways
- RTK Signaling, WNT Signaling, Fc-epsilon Receptor Signaling Pathway, Protein targeting to Nucleus, VEGF Signaling, BCR Signaling
Target
-