Phone:
+1 877 302 8632
Fax:
+1 888 205 9894 (Toll-free)
E-Mail:
orders@antibodies-online.com

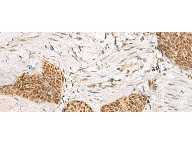
PSPC1 antibody

The Rabbit Polyclonal anti-PSPC1 antibody is suitable to detect PSPC1 in samples from Human, Mouse and Rat. It has been validated for ELISA and IHC.
Catalog No. ABIN7246601
$538.80
Plus shipping costs $50.00
Shipping to: United States
Delivery in 11 to 15 Business Days

Quick Overview for PSPC1 antibody (ABIN7246601)

Target

See all PSPC1 Antibodies
PSPC1 (Paraspeckle Component 1 (PSPC1))

Reactivity

  • 17
  • 9
  • 6
  • 2
  • 2
  • 1
  • 1
  • 1
  • 1
Human, Mouse, Rat

Host

  • 17
Rabbit

Clonality

  • 17
Polyclonal

Conjugate

  • 14
  • 1
  • 1
  • 1
This PSPC1 antibody is un-conjugated

Application

  • 13
  • 8
  • 7
  • 4
  • 3
  • 3
  • 1
  • 1
ELISA, Immunohistochemistry (IHC)
  • Characteristics

    Polyclonal Antibody

    Purification

    Antigen affinity purification

    Immunogen

    Fusion protein of human PSPC1

    Isotype

    IgG
  • Application Notes

    IHC 1:30-1:150, ELISA 1:5000-1:10000

    Restrictions

    For Research Use only
  • Format

    Liquid

    Concentration

    0.54 mg/mL

    Buffer

    PBS with 0.05 % Sodium azide and 40 % Glycerol, pH 7.4

    Preservative

    Sodium azide

    Precaution of Use

    This product contains Sodium azide: a POISONOUS AND HAZARDOUS SUBSTANCE which should be handled by trained staff only.

    Storage

    -20 °C

    Storage Comment

    Store at -20°C. Avoid freeze / thaw cycles.
  • Target

    PSPC1 (Paraspeckle Component 1 (PSPC1))

    Alternative Name

    PSPC1

    Background

    This gene encodes a nucleolar protein that localizes to punctate subnuclear structures that occur close to splicing speckles, known as paraspeckles. These paraspeckles are composed of RNA-protein structures that include a non-coding RNA, NEAT1/Men epsilon/beta, and the Drosophila Behavior Human Splicing family of proteins, which include the product of this gene and the P54NRB/NONO and PSF/SFPQ proteins. Paraspeckles may function in the control of gene expression via an RNA nuclear retention mechanism. The protein encoded by this gene is found in paraspeckles in transcriptionally active cells, but it localizes to unique cap structures at the nucleolar periphery when RNA polymerase II transcription is inhibited, or during telophase. Alternative splicing of this gene results in multiple transcript variants. A related pseudogene, which is also located on chromosome 13, has been identified.

    UniProt

    Q8WXF1
You are here:
Chat with us!