FUCA2 antibody
Quick Overview for FUCA2 antibody (ABIN7247225)
Target
See all FUCA2 AntibodiesReactivity
Host
Clonality
Conjugate
Application
-
-
Characteristics
- Polyclonal Antibody
-
Purification
- Antigen affinity purification
-
Immunogen
- Fusion protein of human FUCA2
-
Isotype
- IgG
-
-
-
-
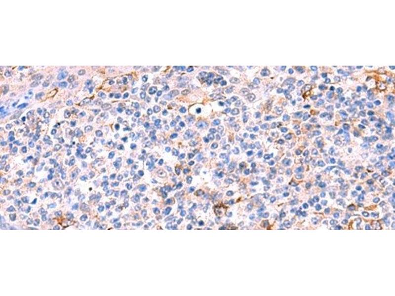
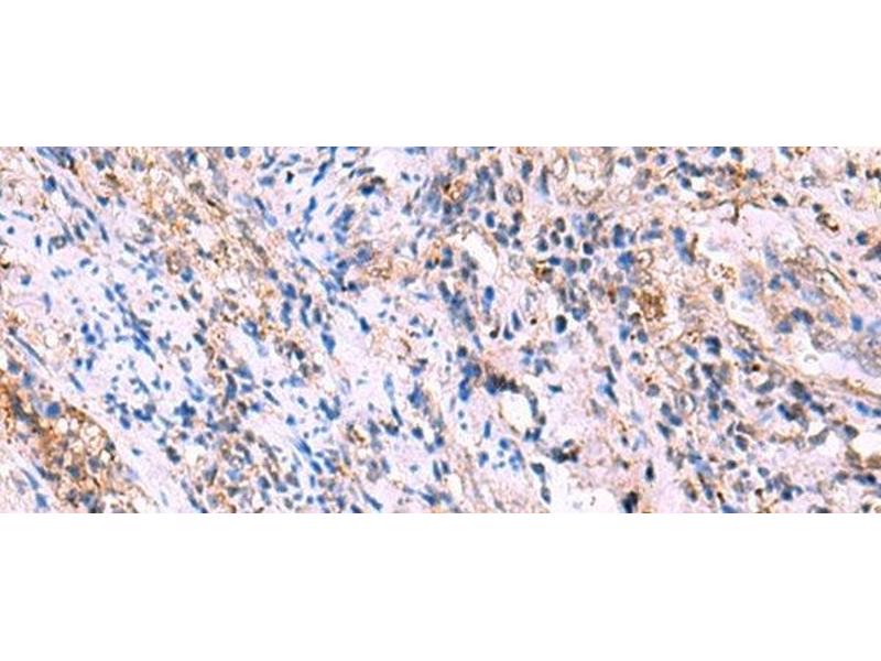
Application Notes
- WB 1:1000-1:5000, IHC 1:50-1:300, ELISA 1:5000-1:10000
-
Restrictions
- For Research Use only
-
-
-
Format
- Liquid
-
Concentration
- 1.26 mg/mL
-
Buffer
- PBS with 0.05 % Sodium azide and 40 % Glycerol, pH 7.4
-
Preservative
- Sodium azide
-
Precaution of Use
- This product contains Sodium azide: a POISONOUS AND HAZARDOUS SUBSTANCE which should be handled by trained staff only.
-
Storage
- -20 °C
-
Storage Comment
- Store at -20°C. Avoid freeze / thaw cycles.
-
-
- FUCA2 (Fucosidase, alpha-L- 2, Plasma (FUCA2))
-
Alternative Name
- FUCA2
-
Background
- This gene encodes a plasma alpha-L-fucosidase, which represents 10-20 % of the total cellular fucosidase activity. The protein is a member of the glycosyl hydrolase 29 family, and catalyzes the hydrolysis of the alpha-1,6-linked fucose joined to the reducing-end N-acetylglucosamine of the carbohydrate moieties of glycoproteins. This enzyme is essential for Helicobacter pylori adhesion to human gastric cancer cells.
-
Molecular Weight
-
Observed_MW: Refer to figures
Calculated_MW: 54 kDa
-
UniProt
- Q9BTY2
Target
-