Phone:
+1 877 302 8632
Fax:
+1 888 205 9894 (Toll-free)
E-Mail:
orders@antibodies-online.com

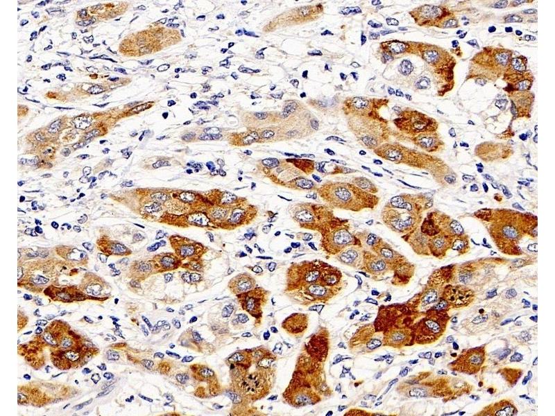
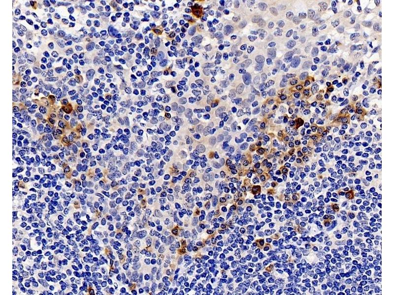
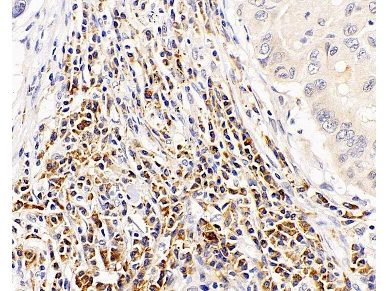
Caspase 1 antibody

The Rabbit Polyclonal anti-Caspase 1 antibody is suitable to detect Caspase 1 in samples from Human, Mouse and Rat. It has been validated for WB and IHC.
Catalog No. ABIN7249876
$552.00
Plus shipping costs $50.00
Shipping to: United States
Delivery in 11 to 15 Business Days

Quick Overview for Caspase 1 antibody (ABIN7249876)

Target

See all Caspase 1 (CASP1) Antibodies
Caspase 1 (CASP1)

Reactivity

  • 117
  • 47
  • 46
  • 5
  • 2
  • 2
  • 1
  • 1
  • 1
  • 1
  • 1
Human, Mouse, Rat

Host

  • 132
  • 10
  • 3
  • 1
Rabbit

Clonality

  • 102
  • 44
Polyclonal

Conjugate

  • 90
  • 19
  • 7
  • 4
  • 4
  • 4
  • 4
  • 4
  • 4
  • 3
  • 2
  • 2
This Caspase 1 antibody is un-conjugated

Application

  • 119
  • 62
  • 44
  • 26
  • 22
  • 18
  • 14
  • 5
  • 4
  • 3
  • 3
  • 1
Western Blotting (WB), Immunohistochemistry (IHC)
  • Characteristics

    Polyclonal Antibody

    Purification

    Affinity purification

    Immunogen

    Recombinant protein corresponding to Mouse Caspase1

    Isotype

    IgG
  • Application Notes

    WB 1:500-1:2000, IHC 1:300-1:800

    Restrictions

    For Research Use only
  • Format

    Liquid

    Concentration

    1.2 mg/mL

    Buffer

    PBS with 0.02 % sodium azide, 1 % BSA and 50 % glycerol, pH 7.4

    Preservative

    Sodium azide

    Precaution of Use

    This product contains Sodium azide: a POISONOUS AND HAZARDOUS SUBSTANCE which should be handled by trained staff only.

    Storage

    -20 °C

    Storage Comment

    Store at -20°C. Avoid freeze / thaw cycles.
  • Target

    Caspase 1 (CASP1)

    Alternative Name

    CASP1

    Background

    This gene encodes a protein which is a member of the cysteine-aspartic acid protease (caspase) family. Sequential activation of caspases plays a central role in the execution-phase of cell apoptosis. Caspases exist as inactive proenzymes which undergo proteolytic processing at conserved aspartic residues to produce 2 subunits, large and small, that dimerize to form the active enzyme. This gene was identified by its ability to proteolytically cleave and activate the inactive precursor of interleukin-1, a cytokine involved in the processes such as inflammation, septic shock, and wound healing. This gene has been shown to induce cell apoptosis and may function in various developmental stages. Studies of a similar gene in mouse suggest a role in the pathogenesis of Huntington disease. Alternative splicing results in transcript variants encoding distinct isoforms.

    Molecular Weight

    Observed_MW: 45-47 kDa,30 kDa,35 kDa

    Calculated_MW: 45 kDa

    UniProt

    P29466, P29452, P43527

    Pathways

    Apoptosis, Interferon-gamma Pathway, Positive Regulation of Endopeptidase Activity, Inflammasome
You are here:
Chat with us!