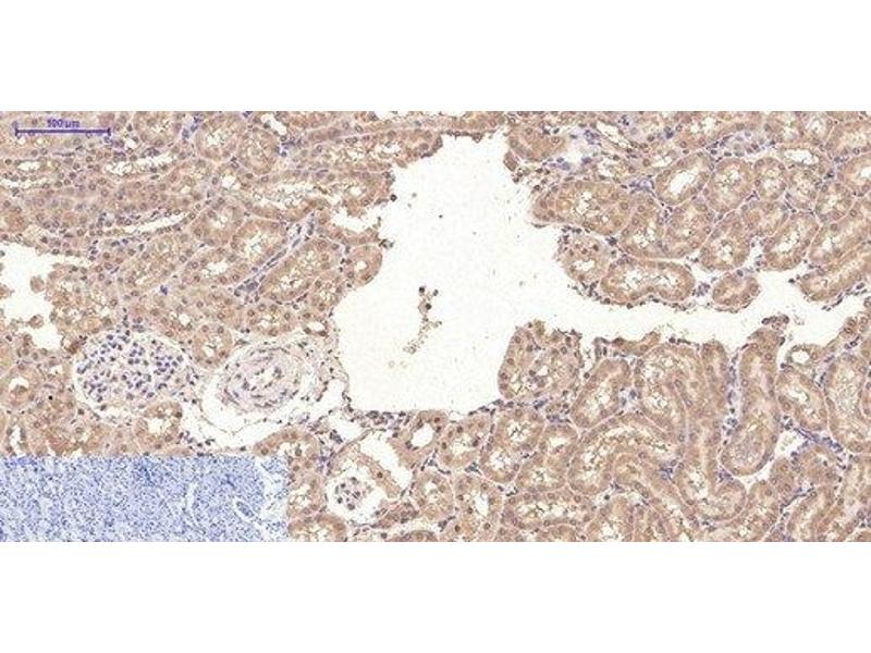
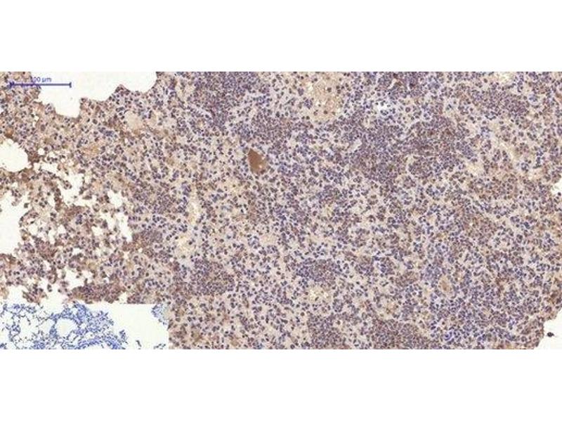
MME antibody
Quick Overview for MME antibody (ABIN7250386)
Target
See all MME AntibodiesReactivity
Host
Clonality
Conjugate
Application
-
-
Characteristics
- Monoclonal Antibody
-
Purification
- Protein A purification
-
Immunogen
- Synthetic Peptide
-
Isotype
- IgG
-
-
-
-
Application Notes
- IHC 1:100-300
-
Restrictions
- For Research Use only
-
-
-
Format
- Liquid
-
Concentration
- 1 mg/mL
-
Buffer
- PBS with 0.02 % sodium azide and 50 % glycerol pH 7.4.
-
Preservative
- Sodium azide
-
Precaution of Use
- This product contains Sodium azide: a POISONOUS AND HAZARDOUS SUBSTANCE which should be handled by trained staff only.
-
Storage
- -20 °C
-
Storage Comment
- Store at -20°C. Avoid freeze / thaw cycles.
-
-
- MME (Membrane Metallo-Endopeptidase (MME))
-
Alternative Name
- CD10
-
Target Type
- Chemical
-
Background
- Thermolysin-like specificity, but is almost confined on acting on polypeptides of up to 30 amino acids. Biologically important in the destruction of opioid peptides such as Met- and Leu-enkephalins by cleavage of a Gly-Phe bond. Able to cleave angiotensin-1, angiotensin-2 and angiotensin 1-9. Involved in the degradation of atrial natriuretic factor (ANF). Displays UV-inducible elastase activity toward skin preelastic and elastic fibers.
-
UniProt
- P08473
-
Pathways
- RTK Signaling, Peptide Hormone Metabolism, Regulation of Systemic Arterial Blood Pressure by Hormones, Smooth Muscle Cell Migration
Target
-