Phone:
+1 877 302 8632
Fax:
+1 888 205 9894 (Toll-free)
E-Mail:
orders@antibodies-online.com

Caspase 3 p17 (Cleaved-Asp175) antibody

The Rabbit Polyclonal anti-Caspase 3 p17 antibody is suitable to detect Caspase 3 p17 in samples from Human, Mouse and Rat. It has been validated for WB, IF, ELISA and IHC (p). The antibody has been independently validated.
Catalog No. ABIN7251013
$538.80
Plus shipping costs $50.00
Shipping to: United States
Delivery in 11 to 15 Business Days

Quick Overview for Caspase 3 p17 (Cleaved-Asp175) antibody (ABIN7251013)

Target

Caspase 3 p17

Reactivity

  • 5
  • 4
  • 4
  • 2
  • 1
  • 1
  • 1
  • 1
Human, Mouse, Rat

Host

  • 5
Rabbit

Clonality

  • 5
Polyclonal

Conjugate

  • 5
Un-conjugated

Application

  • 5
  • 4
  • 3
  • 1
  • 1
  • 1
Western Blotting (WB), Immunofluorescence (IF), ELISA, Immunohistochemistry (Paraffin-embedded Sections) (IHC (p))
  • Binding Specificity

    • 3
    • 1
    • 1
    • 1
    • 1
    Cleaved-Asp175

    Characteristics

    Polyclonal Antibody

    Purification

    Affinity purification

    Immunogen

    Synthesized peptide derived from the Internal region of human Caspase-3 p17

    Isotype

    IgG
  • Application Notes

    WB 1:500-2000, IHC 1:50-300, IF 1:50-300

    Restrictions

    For Research Use only
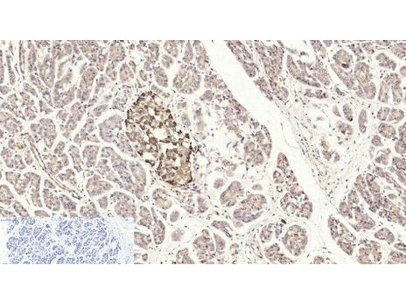
  • Validation #104629 (Immunohistochemistry)
    'Independent Validation' Badge
    by
    Prof. Merighi, Laboratory of Neurobiology, Department of Veterinary Sciences, University of Turin
    No.
    #104629
    Date
    03/15/2025
    Antigen
    Caspase 3 p17
    Lot Number
    DX03VBDV9989
    Method validated
    Immunohistochemistry
    Positive Control

    The expression of caspase 3 at P5 was already attested in our laboratory (Lossi et al., 2004).

    Negative Control

    A control slice was processed for each experimental procedure, omitting the primary antibody.

    Notes

    Reference: Lossi L., Tamagno I. and Merighi A. (2004) “Molecular morphology of neuronal apoptosis: analysis of Caspase 3 activation during postnatal development of mouse cerebellar cortex.” J Mol Histol, 35(6):621-9.

    'Independent Validation' Badge
    Validation Images
    Full Methods
    Primary Antibody
    ABIN7251013
    Secondary Antibody
    anti-rabbit Alexa Fluor 488 (Invitrogen. Lot 2541675)
    Full Protocol
    • Sample analyzed: mouse cerebellum at post-natal day (P) 5–6.
    • Paraffin-embedded slices (7 µm thick) were deparaffinized and rehydrated through a graded series of alcohols and distilled water (dH2O).
    • Sections were blocked in ovalbumin 1% 1 hour at room temperature.
    • Antigen retrieval was performed in all the sections by microwave treatment (1 minute at 750 W + 1 minute at 250 W in citrate buffer pH 6).
    • 3×5 minutes washing in 0.01 M PBS.
    • Sections were incubated with the primary antibody at the following dilutions of 1:50/1:100/1:200, overnight at room temperature (primary antibody was diluted in PLL/BSA/PBS diluent).
    • 3×5 minutes washing in 0.01 M PBS.
    • Incubation with the anti-rabbit secondary antibody 1:400 in PLL/BSA/PBS diluent, 1 hour at room temperature.
    • 3×5 minutes washing in 0.01 M PBS.
    • Nuclear counterstaining was performed with DAPI 1 µg/mL, 2 minutes.
    • 2×5 minutes washing in 0.01 M PBS.
    • Specimens were then mounted in Fluoroshield mounting medium (Sigma).
    Experimental Notes

    Passed. The antibody works in IHC-P at concentrations from 1:50-1:200

  • Format

    Liquid

    Concentration

    1 mg/mL

    Buffer

    PBS with 0.02 % sodium azide, 0.5 % BSA and 50 % glycerol, pH 7.4

    Preservative

    Sodium azide

    Precaution of Use

    This product contains Sodium azide: a POISONOUS AND HAZARDOUS SUBSTANCE which should be handled by trained staff only.

    Storage

    -20 °C

    Storage Comment

    Store at -20°C. Avoid freeze / thaw cycles.
  • Target

    Caspase 3 p17

    Alternative Name

    CASP3 p17

    Background

    Involved in the activation cascade of caspases responsible for apoptosis execution. At the onset of apoptosis it proteolytically cleaves poly(ADP-ribose) polymerase (PARP) at a '216-Asp-Gly-217' bond. Cleaves and activates sterol regulatory element binding proteins (SREBPs) between the basic helix-loop-helix leucine zipper domain and the membrane attachment domain. Cleaves and activates caspase-6, -7 and -9. Involved in the cleavage of huntingtin.

    Molecular Weight

    Observed_MW: 20 kDa

    Calculated_MW: 32 kDa

    UniProt

    P42574
You are here:
Chat with us!