Phone:
+1 877 302 8632
Fax:
+1 888 205 9894 (Toll-free)
E-Mail:
orders@antibodies-online.com

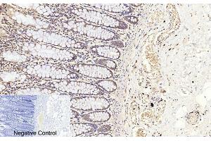
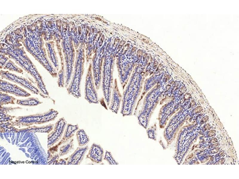
Caspase 3 p17 (AA 100-180), (Cleaved-Asp175) antibody

This Rabbit Polyclonal antibody specifically detects Caspase 3 p17 in WB, IF, ELISA and IHC. It exhibits reactivity toward Human, Mouse and Rat.
Catalog No. ABIN7202045
$367.10
Plus shipping costs $50.00
100 μL
Shipping to: United States
Delivery in 12 to 16 Business Days

Quick Overview for Caspase 3 p17 (AA 100-180), (Cleaved-Asp175) antibody (ABIN7202045)

Target

Caspase 3 p17

Reactivity

  • 5
  • 4
  • 4
  • 2
  • 1
  • 1
  • 1
  • 1
Human, Mouse, Rat

Host

  • 5
Rabbit

Clonality

  • 5
Polyclonal

Conjugate

  • 5
Un-conjugated

Application

  • 5
  • 4
  • 2
  • 1
  • 1
  • 1
  • 1
Western Blotting (WB), Immunofluorescence (IF), ELISA, Immunohistochemistry (IHC)
  • Binding Specificity

    • 3
    • 1
    • 1
    • 1
    AA 100-180, Cleaved-Asp175

    Purpose

    Rabbit Anti-Cleaved-Caspase-3 p17 (D175) Polyclonal Antibody

    Specificity

    Cleaved-Caspase-3 p17 (D175) Polyclonal Antibody detects endogenous levels of fragment of activated Caspase-3 p17 protein resulting from cleavage adjacent to D175.

    Purification

    The antibody was affinity-purified from rabbit antiserum by affinity-chromatography using epitope-specific immunogen.

    Immunogen

    Synthesized peptide derived from the Internal region of human Caspase-3 p17 at AA range: 100-180

    Isotype

    IgG
  • Application Notes

    Optimal working dilutions should be determined experimentally by the investigator. Suggested starting dilutions are as follows: WB 1:500-2000,IHC 1:50-300,IF 1:50-300

    Restrictions

    For Research Use only
  • Format

    Liquid

    Concentration

    1 mg/mL

    Buffer

    Liquid in PBS containing 50 % glycerol, 0.5 % BSA and 0.02 % sodium azide.

    Preservative

    Sodium azide

    Precaution of Use

    This product contains Sodium azide: a POISONOUS AND HAZARDOUS SUBSTANCE which should be handled by trained staff only.

    Storage

    -20 °C

    Storage Comment

    Stable for one year at -20°C from date of shipment. For maximum recovery of product, centrifuge the original vial after thawing and prior to removing the cap. Aliquot to avoid repeated freezing and thawing.

    Expiry Date

    12 months
  • Target

    Caspase 3 p17

    Alternative Name

    Caspase-3 p17

    Background

    CASP3, CPP32, Caspase-3, CASP-3, Apopain, Cysteine protease CPP32, CPP-32, Protein Yama, SREBP cleavage activity 1, SCA-1CASP3 encodes caspase 3 which is a member of the cysteine-aspartic acid protease (caspase) family. Sequential activation of caspases plays a central role in the execution-phase of cell apoptosis. Caspases exist as inactive proenzymes which undergo proteolytic processing at conserved aspartic residues to produce two subunits, large and small, that dimerize to form the active enzyme. Caspase 3 cleaves and activates caspases 6, 7 and 9, and caspase 3 itself is processed by caspases 8, 9 and 10. It is the predominant caspase involved in the cleavage of amyloid-beta 4A precursor protein, which is associated with neuronal death in Alzheimer's disease. Alternative splicing of CASP3 results in two transcript variants that encode the same protein.

    Molecular Weight

    17kD,34kD

    Gene ID

    836

    UniProt

    P42574
You are here:
Chat with us!