SUMO1 antibody
Quick Overview for SUMO1 antibody (ABIN7260199)
Target
See all SUMO1 AntibodiesReactivity
Host
Clonality
Conjugate
Application
-
-
Characteristics
- Polyclonal Antibody
-
Purification
- Affinity purification
-
Immunogen
- Recombinant fusion protein of human SUMO1 (NP_003343.1).
-
Isotype
- IgG
-
-
-
-
Application Notes
- WB 1:500-1:2000 IHC 1:50-1:100 IF 1:50-1:200
-
Restrictions
- For Research Use only
-
-
-
Format
- Liquid
-
Concentration
- 1 mg/mL
-
Buffer
- PBS with 0.02 % sodium azide, 50 % glycerol, pH 7.3
-
Preservative
- Sodium azide
-
Precaution of Use
- This product contains Sodium azide: a POISONOUS AND HAZARDOUS SUBSTANCE which should be handled by trained staff only.
-
Storage
- -20 °C
-
Storage Comment
- Store at -20°C. Avoid freeze / thaw cycles.
-
-
- SUMO1 (Small Ubiquitin Related Modifier Protein 1 (SUMO1))
-
Alternative Name
- SUMO1
-
Background
- This gene encodes a protein that is a member of the SUMO (small ubiquitin-like modifier) protein family. It functions in a manner similar to ubiquitin in that it is bound to target proteins as part of a post-translational modification system. However, unlike ubiquitin which targets proteins for degradation, this protein is involved in a variety of cellular processes, such as nuclear transport, transcriptional regulation, apoptosis, and protein stability. It is not active until the last four amino acids of the carboxy-terminus have been cleaved off. Several pseudogenes have been reported for this gene. Alternate transcriptional splice variants encoding different isoforms have been characterized.
-
Molecular Weight
-
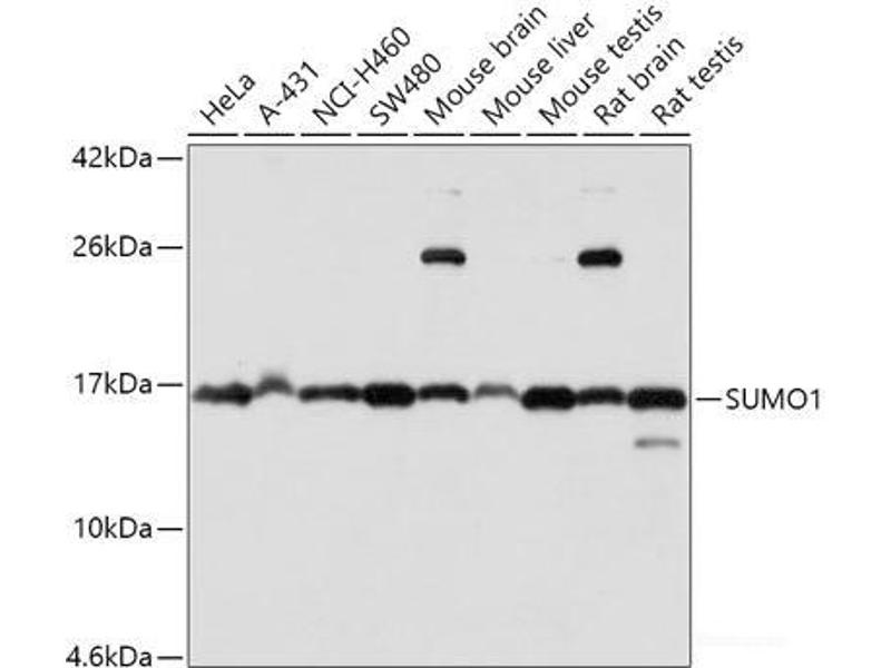
Observed_MW: 90 kDa
Calculated_MW: 8 kDa/11 kDa
-
Gene ID
- 7341
-
UniProt
- P63165
-
Pathways
- M Phase, Positive Regulation of Endopeptidase Activity, Protein targeting to Nucleus, Ubiquitin Proteasome Pathway
Target
-