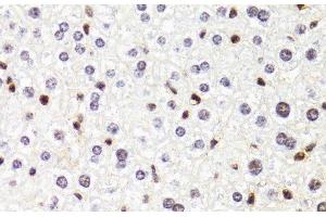
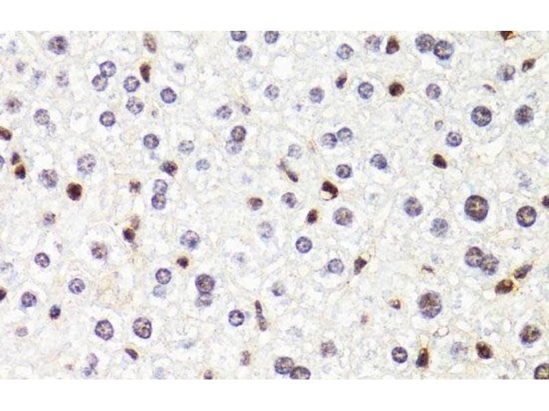
POLR2B antibody
Quick Overview for POLR2B antibody (ABIN7261872)
Target
See all POLR2B AntibodiesReactivity
Host
Clonality
Conjugate
Application
-
-
Characteristics
- Polyclonal Antibody
-
Purification
- Affinity purification
-
Immunogen
- Recombinant fusion protein of human POLR2B (NP_000929.1).
-
Isotype
- IgG
-
-
-
-
Application Notes
- IHC 1:50-1:200
-
Restrictions
- For Research Use only
-
-
-
Format
- Liquid
-
Concentration
- 1 mg/mL
-
Buffer
- PBS with 0.02 % sodium azide, 50 % glycerol, pH 7.3
-
Preservative
- Sodium azide
-
Precaution of Use
- This product contains Sodium azide: a POISONOUS AND HAZARDOUS SUBSTANCE which should be handled by trained staff only.
-
Storage
- -20 °C
-
Storage Comment
- Store at -20°C. Avoid freeze / thaw cycles.
-
-
- POLR2B (Polymerase (RNA) II (DNA Directed) Polypeptide B, 140kDa (POLR2B))
-
Alternative Name
- POLR2B
-
Background
- This gene encodes the second largest subunit of RNA polymerase II (Pol II), a DNA-dependent RNA polymerase that catalyzes the transcription of DNA into precursors of mRNA, snRNA and microRNA. This subunit and the largest subunit form opposite sides of the center cleft of Pol II. Deletion of the flap loop region of this subunit results in a decrease in the rate of transcriptional elongation. Alternative splicing results in multiple transcript variants.
-
Gene ID
- 5431
-
UniProt
- P30876
-
Pathways
- Regulatory RNA Pathways, DNA Damage Repair
Target
-