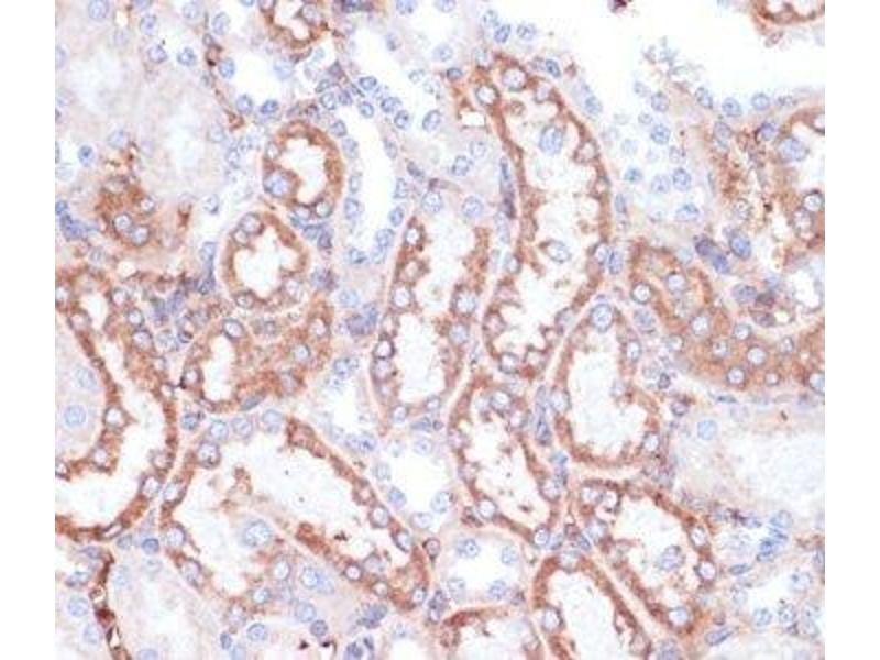
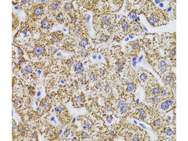
GATM antibody
Quick Overview for GATM antibody (ABIN7262473)
Target
See all GATM AntibodiesReactivity
Host
Clonality
Conjugate
Application
-
-
Characteristics
- Polyclonal Antibody
-
Purification
- Affinity purification
-
Immunogen
- Recombinant fusion protein of human GATM (NP_001473.1).
-
Isotype
- IgG
-
-
-
-
Application Notes
- WB 1:500-1:2000 IHC 1:50-1:200 IF 1:50-1:200
-
Restrictions
- For Research Use only
-
-
-
Format
- Liquid
-
Concentration
- 1 mg/mL
-
Buffer
- PBS with 0.02 % sodium azide, 50 % glycerol, pH 7.3
-
Preservative
- Sodium azide
-
Precaution of Use
- This product contains Sodium azide: a POISONOUS AND HAZARDOUS SUBSTANCE which should be handled by trained staff only.
-
Storage
- -20 °C
-
Storage Comment
- Store at -20°C. Avoid freeze / thaw cycles.
-
-
- GATM (Glycine Amidinotransferase (L-Arginine:glycine Amidinotransferase) (GATM))
-
Alternative Name
- GATM
-
Background
- This gene encodes a mitochondrial enzyme that belongs to the amidinotransferase family. This enzyme is involved in creatine biosynthesis, whereby it catalyzes the transfer of a guanido group from L-arginine to glycine, resulting in guanidinoacetic acid, the immediate precursor of creatine. Mutations in this gene cause arginine:glycine amidinotransferase deficiency, an inborn error of creatine synthesis characterized by mental retardation, language impairment, and behavioral disorders.
-
Molecular Weight
-
Observed_MW: 43 kDa
Calculated_MW: 44 kDa/48 kDa
-
Gene ID
- 2628
-
UniProt
- P50440
Target
-