OAS3 antibody
Quick Overview for OAS3 antibody (ABIN7264801)
Target
See all OAS3 AntibodiesReactivity
Host
Clonality
Conjugate
Application
-
-
Characteristics
- Polyclonal Antibody
-
Purification
- Affinity purification
-
Immunogen
- Recombinant fusion protein of human OAS3 (NP_006178.2).
-
Isotype
- IgG
-
-
-
-
Application Notes
- WB 1:500-1:2000 IF 1:50-1:200
-
Restrictions
- For Research Use only
-
-
-
Format
- Liquid
-
Concentration
- 1 mg/mL
-
Buffer
- PBS with 0.02 % sodium azide, 50 % glycerol, pH 7.3
-
Preservative
- Sodium azide
-
Precaution of Use
- This product contains Sodium azide: a POISONOUS AND HAZARDOUS SUBSTANCE which should be handled by trained staff only.
-
Storage
- -20 °C
-
Storage Comment
- Store at -20°C. Avoid freeze / thaw cycles.
-
-
- OAS3 (2'-5' Oligoadenylate Synthetase 3 (OAS3))
-
Alternative Name
- OAS3
-
Background
- This gene encodes an enzyme included in the 2', 5' oligoadenylate synthase family. This enzyme is induced by interferons and catalyzes the 2', 5' oligomers of adenosine in order to bind and activate RNase L. This enzyme family plays a significant role in the inhibition of cellular protein synthesis and viral infection resistance.
-
Molecular Weight
-
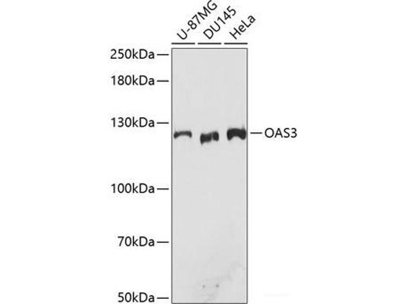
Observed_MW: 121 kDa
Calculated_MW: 121 kDa
-
Gene ID
- 4940
-
UniProt
- Q9Y6K5
-
Pathways
- Hepatitis C
Target
-