Phone:
+1 877 302 8632
Fax:
+1 888 205 9894 (Toll-free)
E-Mail:
orders@antibodies-online.com

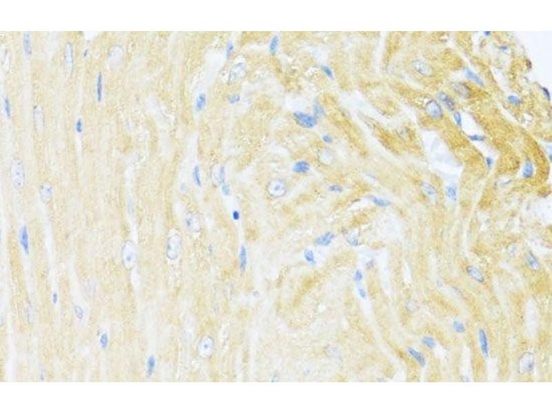
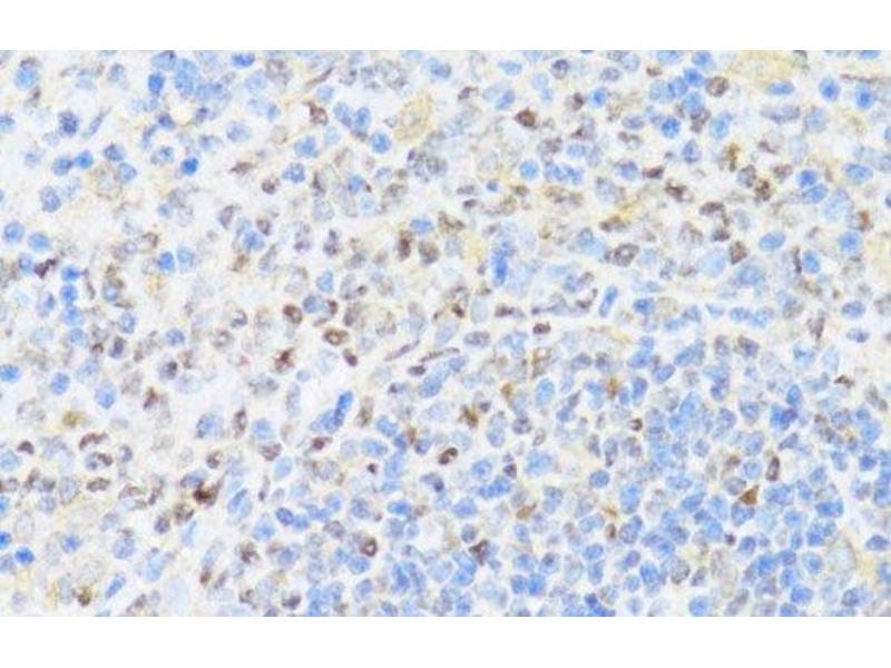
MNF1 antibody

This Rabbit Polyclonal antibody specifically detects MNF1 in IHC. It exhibits reactivity toward Human, Mouse and Rat.
Catalog No. ABIN7265000
$696.00
Plus shipping costs $50.00
Shipping to: United States
Delivery in 11 to 15 Business Days

Quick Overview for MNF1 antibody (ABIN7265000)

Target

See all MNF1 Antibodies
MNF1 (Mitochondrial Nucleoid Factor 1 (MNF1))

Reactivity

Human, Mouse, Rat

Host

  • 12
Rabbit

Clonality

  • 12
Polyclonal

Conjugate

  • 5
  • 1
  • 1
  • 1
  • 1
  • 1
  • 1
  • 1
This MNF1 antibody is un-conjugated

Application

  • 4
  • 4
  • 2
  • 1
Immunohistochemistry (IHC)
You are here:
Chat with us!