Phone:
+1 877 302 8632
Fax:
+1 888 205 9894 (Toll-free)
E-Mail:
orders@antibodies-online.com

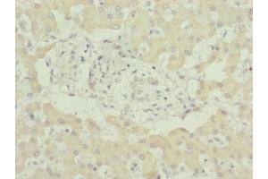
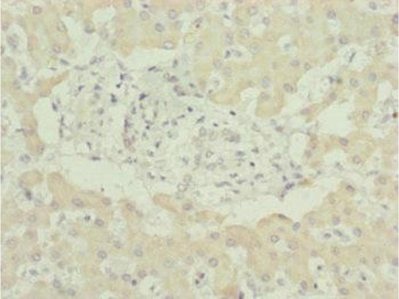
MNF1 antibody (AA 14-126)

The Rabbit Polyclonal anti-MNF1 antibody is suitable to detect MNF1 in samples from Human. It has been validated for IHC, WB and ELISA.
Catalog No. ABIN7174236
$394.68
Plus shipping costs $50.00
Shipping to: United States
Delivery in 13 to 17 Business Days

Quick Overview for MNF1 antibody (AA 14-126) (ABIN7174236)

Target

See all MNF1 Antibodies
MNF1 (Mitochondrial Nucleoid Factor 1 (MNF1))

Reactivity

  • 12
  • 11
  • 11
Human

Host

  • 12
Rabbit

Clonality

  • 12
Polyclonal

Conjugate

  • 5
  • 1
  • 1
  • 1
  • 1
  • 1
  • 1
  • 1
This MNF1 antibody is un-conjugated

Application

  • 4
  • 3
  • 1
  • 1
Immunohistochemistry (IHC), Western Blotting (WB), ELISA
  • Binding Specificity

    • 1
    • 1
    AA 14-126

    Purpose

    UQCC2 Antibody

    Purification

    Antigen Affinity Purified

    Immunogen

    Recombinant Human Ubiquinol-cytochrome-c reductase complex assembly factor 2 protein (14-126AA)

    Isotype

    IgG
  • Application Notes

    Optimal working dilution should be determined by the investigator.

    Restrictions

    For Research Use only
  • Format

    Liquid

    Buffer

    PBS with 0.02 % sodium azide, 50 % glycerol, pH 7.3.

    Preservative

    Sodium azide

    Precaution of Use

    This product contains Sodium azide: a POISONOUS AND HAZARDOUS SUBSTANCE which should be handled by trained staff only.

    Storage

    -20 °C,-80 °C

    Storage Comment

    Upon receipt, store at -20°C or -80°C. Avoid repeated freeze.
  • Target

    MNF1 (Mitochondrial Nucleoid Factor 1 (MNF1))

    Alternative Name

    UQCC2

    Background

    Background: Required for the assembly of the ubiquinol-cytochrome c reductase complex (mitochondrial respiratory chain complex III or cytochrome b-c1 complex). Plays a role in the modulation of respiratory chain activities such as oxygen consumption and ATP production and via its modulation of the respiratory chain activity can regulate skeletal muscle differentiation and insulin secretion by pancreatic beta-cells. Involved in cytochrome b translation and/or stability.

    Aliases: UQCC2 antibody, C6orf125 antibody, MNF1 antibody, Ubiquinol-cytochrome-c reductase complex assembly factor 2 antibody, Breast cancer-associated protein SGA-81M antibody, Mitochondrial nucleoid factor 1 antibody, Mitochondrial protein M19 antibody

    UniProt

    Q9BRT2
You are here:
Chat with us!