×
For best experience we recommend to activate Javascript in your browser.
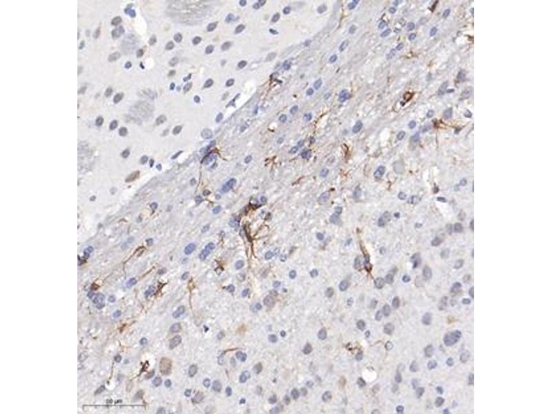
ADCY1 antibody
This Rabbit Polyclonal antibody specifically detects ADCY1 in IHC and IF. It exhibits reactivity toward Mouse and Rat.
Catalog No. ABIN7072958
$341.54
Plus shipping costs $50.00
Delivery in 15 to 22 Business Days
Quick Overview for ADCY1 antibody (ABIN7072958)
Target
See all ADCY1 Antibodies
ADCY1
(Adenylate Cyclase 1 (Brain) (ADCY1))
Reactivity
All reactivities for ADCY1 antibodies
Mouse, Rat
Host
All hosts for ADCY1 antibodies
Rabbit
Clonality
All clonalities for ADCY1 antibodies
Polyclonal
Conjugate
All conjugates for ADCY1 antibodies
This ADCY1 antibody is un-conjugated
Application
All applications for ADCY1 antibodies
Immunohistochemistry (IHC), Immunofluorescence (IF)
Product Details anti-ADCY1 Antibody
(hide)
Cross-Reactivity
Rat
Purification
Affinity purification
Immunogen
Recombinant protein corresponding to Mouse Adenylate cyclase 1/AC1
Alternatives
(show)
Application Details
(hide)
Application Notes
IHC/IF (M,R) 1:650-1:1300
Restrictions
For Research Use only
Handling
(hide)
Format
Liquid
Buffer
PBS, pH 7.4, 0.02 % sodium azide
Preservative
Sodium azide
Precaution of Use
This product contains Sodium azide: a POISONOUS AND HAZARDOUS SUBSTANCE which should be handled by trained staff only.
Storage
-20 °C
Target Details for ADCY1
(hide)
Target
ADCY1
(Adenylate Cyclase 1 (Brain) (ADCY1))
Alternative Name
Adenylate cyclase 1/AC1
Background
ADCY1 belongs to the adenylyl cyclase class-4/guanylyl cyclase family. It is a calmodulin-sensitive adenylyl cyclase. ADCY1 may be involved in regulatory processes in the central nervous system. It may play a role in memory acquisition and learning. The antibody is specific to ADCY1.
Gene ID
432530
NCBI Accession
NP_033752
UniProt
O88444
Pathways
EGFR Signaling Pathway , Neurotrophin Signaling Pathway , Thyroid Hormone Synthesis , cAMP Metabolic Process , Myometrial Relaxation and Contraction , G-protein mediated Events , Interaction of EGFR with phospholipase C-gamma
Recently viewed
(hide)
You are here:
Homepage
anti-ADCY1 antibody (ABIN7072958)
Chat with us , powered by LiveChat