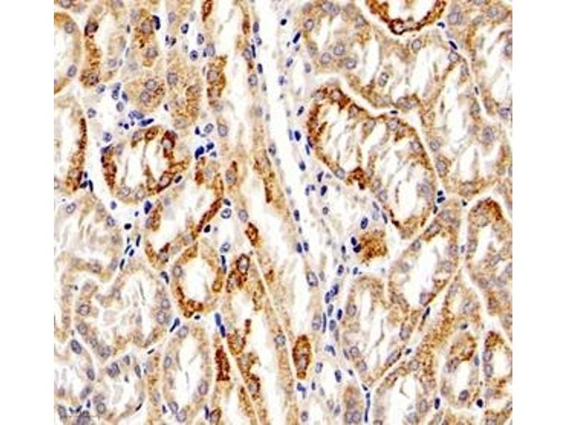
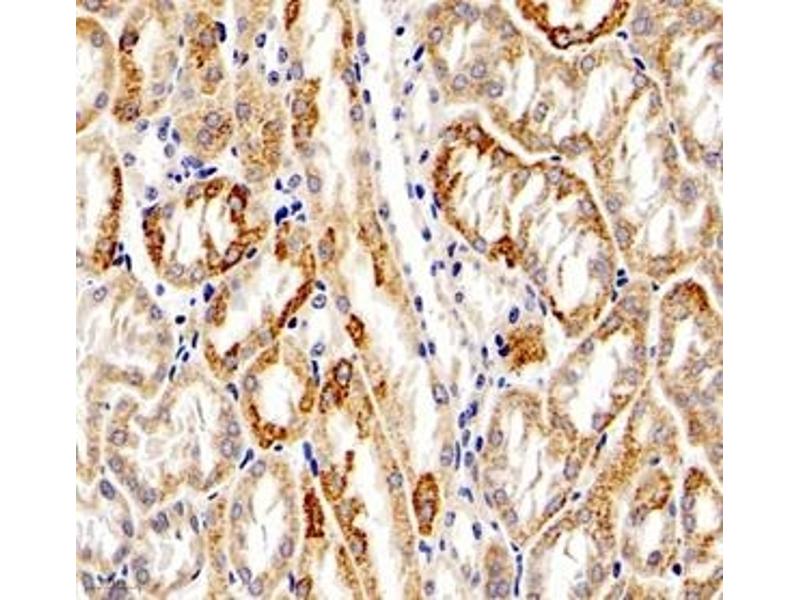
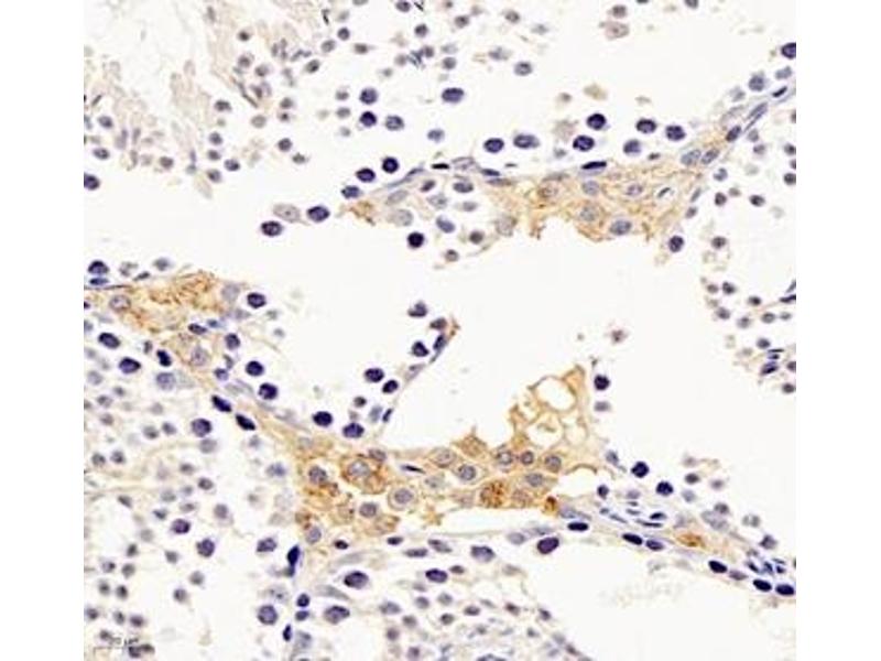
ALDH4A1 antibody
Quick Overview for ALDH4A1 antibody (ABIN7073000)
Target
See all ALDH4A1 AntibodiesReactivity
Host
Clonality
Conjugate
Application
-
-
Cross-Reactivity
- Human, Rat
-
Purification
- Affinity purification
-
Immunogen
- KLH conjugated Synthetic peptide corresponding to Mouse ALDH4A1
-
-
-
-
Application Notes
- WB (H,M,R) 1:300-1:600, IHC/IF (H,M,R) 1:1200-1:2400/1:400-1:800
-
Restrictions
- For Research Use only
-
-
-
Format
- Liquid
-
Buffer
- PBS, pH 7.4, 0.02 % sodium azide
-
Preservative
- Sodium azide
-
Precaution of Use
- This product contains Sodium azide: a POISONOUS AND HAZARDOUS SUBSTANCE which should be handled by trained staff only.
-
Storage
- -20 °C
-
-
- ALDH4A1 (Aldehyde Dehydrogenase 4 Family, Member A1 (ALDH4A1))
-
Alternative Name
- ALDH4A1/P5CDH
-
Background
- ALDH4A1(Aldehyde dehydrogenase family 4 member A1) is also named as ALDH4, P5CDH,P5C dehydrogenase and belongs to the aldehyde dehydrogenase family. P5CDH is a mitochondrial matrix NAD(+)-dependent dehydrogenase which catalyzes the second step of the proline degradation pathway, converting pyrroline-5-carboxylate to glutamate.Defects in ALDH4A1 are the cause of hyperprolinemia type 2 (HP-2).
-
Molecular Weight
- 62 kDa
-
Gene ID
- 212647
-
NCBI Accession
- NP_780647
-
UniProt
- Q8CHT0
-
Pathways
- Monocarboxylic Acid Catabolic Process
Target
-