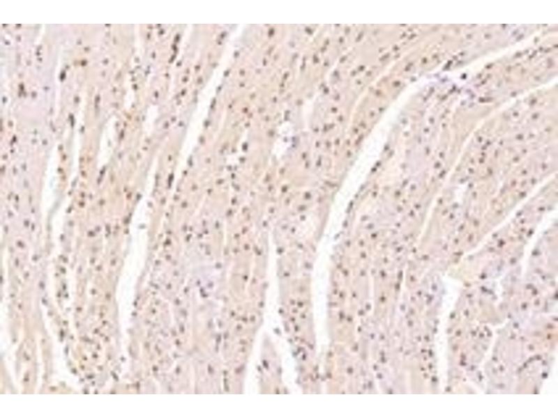
SUN2
Reactivity: Human, Rat, Mouse
WB
Host: Rabbit
Polyclonal
unconjugated
Application Notes
IHC/IF (H,M,R) 1:2000-1:4000/1:2000-1:4000
Restrictions
For Research Use only
Format
Liquid
Buffer
PBS, pH 7.4, 0.02 % sodium azide
Preservative
Sodium azide
Precaution of Use
This product contains Sodium azide: a POISONOUS AND HAZARDOUS SUBSTANCE which should be handled by trained staff only.
Storage
-20 °C
Target
SUN2
(Sad1 and UNC84 Domain Containing 2 (SUN2))
Alternative Name
SUN2
Background
SUN proteins form part of the LINC complex - a protein bridge that spans the nuclear envelope linking the nucleoskeleten to the actin cytoskeleten. They are located on the inner nuclear membrane side of the complex. The LINC complex is thought to function in controlling nuclear position, contributing to mechanical resistance and the overall architecture of the cell. SUN2 can exist in a heterodimer with SUN1. Both can interact with lamins and nesprins in the nuclear envelope.