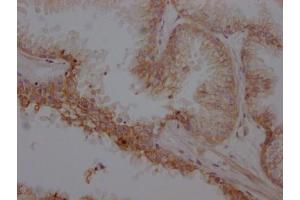
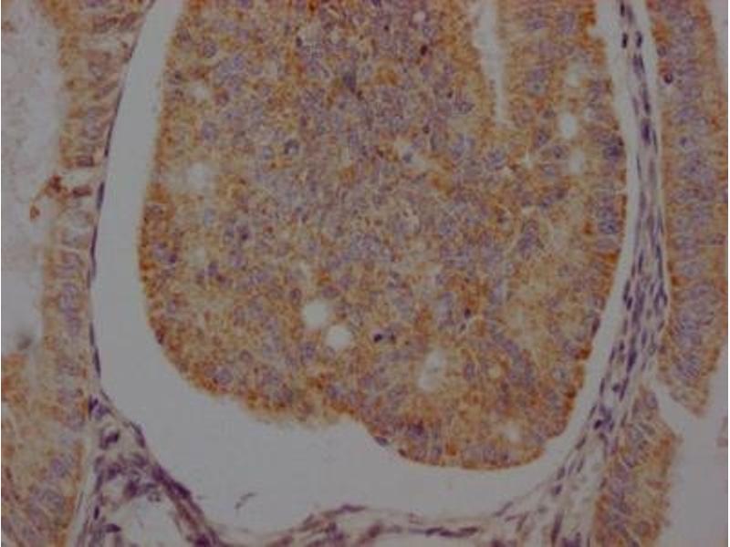
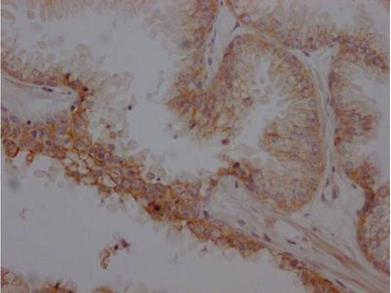
Recombinant beta 2 Adrenergic Receptor antibody
Quick Overview for Recombinant beta 2 Adrenergic Receptor antibody (ABIN7127366)
Target
See all beta 2 Adrenergic Receptor (ADRB2) AntibodiesAntibody Type
Reactivity
Host
Clonality
Conjugate
Application
Clone
-
-
Purpose
- ADRB2 Recombinant Monoclonal Antibody
-
Purification
- Affinity-chromatography
-
Immunogen
- A synthesized peptide derived from human beta 2 Adrenergic Receptor
-
Isotype
- IgG
-
-
-
-
Application Notes
- IHC:1:50-1:200
-
Restrictions
- For Research Use only
-
-
-
Format
- Liquid
-
Buffer
- phosphate buffered saline, pH 7.4, 150 mM NaCl, 0.02 % sodium azide and 50 % glycerol.
-
Preservative
- Sodium azide
-
Precaution of Use
- This product contains Sodium azide: a POISONOUS AND HAZARDOUS SUBSTANCE which should be handled by trained staff only.
-
Storage
- -20 °C,-80 °C
-
Storage Comment
- Upon receipt, store at -20°C or -80°C. Avoid repeated freeze.
-
-
- beta 2 Adrenergic Receptor (ADRB2) (Adrenergic, beta-2-, Receptor, Surface (ADRB2))
-
Alternative Name
- ADRB2
-
Background
-
Background: Beta-adrenergic receptors mediate the catecholamine-induced activation of adenylate cyclase through the action of G proteins. The beta-2-adrenergic receptor binds epinephrine with an approximately 30-fold greater affinity than it does norepinephrine.
Aliases: Beta-2 adrenergic receptor (Beta-2 adrenoreceptor) (Beta-2 adrenoceptor), ADRB2, ADRB2R B2AR
-
UniProt
- P07550
-
Pathways
- cAMP Metabolic Process, Synaptic Membrane, Regulation of G-Protein Coupled Receptor Protein Signaling, Brown Fat Cell Differentiation
Target
-