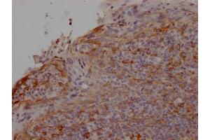
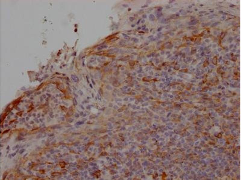
Recombinant CCR2 antibody
Quick Overview for Recombinant CCR2 antibody (ABIN7127389)
Target
See all CCR2 AntibodiesAntibody Type
Reactivity
Host
Clonality
Conjugate
Application
Clone
-
-
Purpose
- CCR2 Recombinant Monoclonal Antibody
-
Purification
- Affinity-chromatography
-
Immunogen
- A synthesized peptide derived from human CCR2/CKR2
-
Isotype
- IgG
-
-
-
-
Application Notes
- IHC:1:50-1:200
-
Restrictions
- For Research Use only
-
-
-
Format
- Liquid
-
Buffer
- phosphate buffered saline, pH 7.4, 150 mM NaCl, 0.02 % sodium azide and 50 % glycerol.
-
Preservative
- Sodium azide
-
Precaution of Use
- This product contains Sodium azide: a POISONOUS AND HAZARDOUS SUBSTANCE which should be handled by trained staff only.
-
Storage
- -20 °C,-80 °C
-
Storage Comment
- Upon receipt, store at -20°C or -80°C. Avoid repeated freeze.
-
-
- CCR2 (Chemokine (C-C Motif) Receptor 2 (CCR2))
-
Alternative Name
- CCR2
-
Background
-
Background: Receptor for the CCL2, CCL7 and CCL13 chemokines. Transduces a signal by increasing intracellular calcium ion levels. Alternative coreceptor with CD4 for HIV-1 infection.
Aliases: C-C chemokine receptor type 2 (C-C CKR-2) (CC-CKR-2) (CCR-2) (CCR2) (Monocyte chemoattractant protein 1 receptor) (MCP-1-R) (CD antigen CD192), CCR2, CMKBR2
-
UniProt
- P41597
-
Pathways
- cAMP Metabolic Process, Regulation of Leukocyte Mediated Immunity, Positive Regulation of Immune Effector Process
Target
-