Phone:
+1 877 302 8632
Fax:
+1 888 205 9894 (Toll-free)
E-Mail:
orders@antibodies-online.com

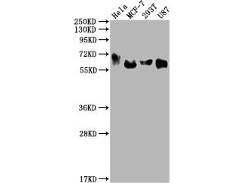
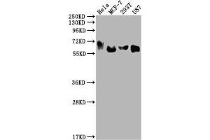
Recombinant GBA antibody

This Rabbit Monoclonal antibody specifically detects GBA in WB and ELISA. It exhibits reactivity toward Human.
Catalog No. ABIN7127510
$462.00
Plus shipping costs $50.00
Shipping to: United States
Delivery in 13 to 17 Business Days

Quick Overview for Recombinant GBA antibody (ABIN7127510)

Target

See all GBA Antibodies
GBA (Glucosidase, Beta, Acid (GBA))

Antibody Type

Recombinant Antibody

Reactivity

  • 83
  • 44
  • 41
  • 2
  • 1
  • 1
  • 1
  • 1
  • 1
  • 1
Human

Host

  • 91
  • 14
Rabbit

Clonality

  • 74
  • 31
Monoclonal

Conjugate

  • 40
  • 17
  • 11
  • 4
  • 3
  • 3
  • 3
  • 3
  • 3
  • 3
  • 2
  • 2
  • 1
  • 1
  • 1
  • 1
  • 1
  • 1
  • 1
  • 1
  • 1
  • 1
  • 1
This GBA antibody is un-conjugated

Application

  • 73
  • 37
  • 22
  • 13
  • 12
  • 11
  • 10
  • 9
  • 8
  • 5
  • 5
  • 2
  • 1
Western Blotting (WB), ELISA

Clone

4H4
  • Purpose

    GBA Recombinant Monoclonal Antibody

    Purification

    Affinity-chromatography

    Immunogen

    A synthesized peptide derived from human GBA

    Isotype

    IgG
  • Application Notes

    WB:1:500-1:5000

    Restrictions

    For Research Use only
  • Format

    Liquid

    Buffer

    phosphate buffered saline, pH 7.4, 150 mM NaCl, 0.02 % sodium azide and 50 % glycerol.

    Preservative

    Sodium azide

    Precaution of Use

    This product contains Sodium azide: a POISONOUS AND HAZARDOUS SUBSTANCE which should be handled by trained staff only.

    Storage

    -20 °C,-80 °C

    Storage Comment

    Upon receipt, store at -20°C or -80°C. Avoid repeated freeze.
  • Target

    GBA (Glucosidase, Beta, Acid (GBA))

    Alternative Name

    GBA

    Background

    Background: extracellular exosome, lysosomal lumen, lysosomal membrane, glucosylceramidase activity, receptor binding, cellular response to tumor necrosis factor, ceramide biosynthetic process, glucosylceramide catabolic process, glycosphingolipid metabolic process, negative regulation of inflammatory response

    Aliases: Glucosylceramidase (EC 3.2.1.45) (Acid beta-glucosidase) (Alglucerase) (Beta-glucocerebrosidase) (Beta-GC) (D-glucosyl-N-acylsphingosine glucohydrolase) (Imiglucerase), GBA, GC GLUC

    UniProt

    P04062

    Pathways

    Cellular Glucan Metabolic Process
You are here:
Chat with us!