Phone:
+1 877 302 8632
Fax:
+1 888 205 9894 (Toll-free)
E-Mail:
orders@antibodies-online.com

Recombinant JunB antibody

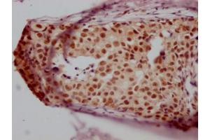
The Rabbit Monoclonal anti-JunB antibody is suitable to detect JunB in samples from Human. It has been validated for IHC, ELISA and IF.
Catalog No. ABIN7127589
$462.00
Plus shipping costs $50.00
Shipping to: United States
Delivery in 13 to 17 Business Days

Quick Overview for Recombinant JunB antibody (ABIN7127589)

Target

See all JunB (JUNB) Antibodies
JunB (JUNB) (Jun B Proto-Oncogene (JUNB))

Antibody Type

Recombinant Antibody

Reactivity

  • 133
  • 64
  • 60
  • 10
  • 9
  • 8
  • 7
  • 6
  • 5
  • 4
  • 3
  • 2
  • 2
  • 1
  • 1
  • 1
Human

Host

  • 125
  • 7
  • 1
Rabbit

Clonality

  • 104
  • 29
Monoclonal

Conjugate

  • 70
  • 7
  • 4
  • 4
  • 4
  • 4
  • 4
  • 4
  • 3
  • 3
  • 2
  • 2
  • 2
  • 2
  • 2
  • 2
  • 2
  • 2
  • 2
  • 2
  • 2
  • 1
  • 1
  • 1
  • 1
This JunB antibody is un-conjugated

Application

  • 95
  • 36
  • 34
  • 33
  • 27
  • 27
  • 26
  • 16
  • 15
  • 6
  • 5
  • 3
  • 2
  • 1
Immunohistochemistry (IHC), ELISA, Immunofluorescence (IF)

Clone

5H4
  • Purpose

    JUNB Recombinant Monoclonal Antibody

    Purification

    Affinity-chromatography

    Immunogen

    A synthesized peptide derived from human JunB

    Isotype

    IgG
  • Application Notes

    IHC:1:50-1:200, IF:1:20-1:200

    Restrictions

    For Research Use only
  • Format

    Liquid

    Buffer

    phosphate buffered saline, pH 7.4, 150 mM NaCl, 0.02 % sodium azide and 50 % glycerol.

    Preservative

    Sodium azide

    Precaution of Use

    This product contains Sodium azide: a POISONOUS AND HAZARDOUS SUBSTANCE which should be handled by trained staff only.

    Storage

    -20 °C,-80 °C

    Storage Comment

    Upon receipt, store at -20°C or -80°C. Avoid repeated freeze.
  • Target

    JunB (JUNB) (Jun B Proto-Oncogene (JUNB))

    Alternative Name

    JUNB

    Background

    Background: Transcription factor involved in regulating gene activity following the primary growth factor response. Binds to the DNA sequence 5'-TGA[CG]TCA-3'.

    Aliases: Transcription factor jun-B, JUNB

    UniProt

    P17275
You are here:
Chat with us!