Phone:
+1 877 302 8632
Fax:
+1 888 205 9894 (Toll-free)
E-Mail:
orders@antibodies-online.com

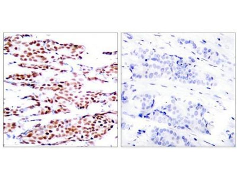
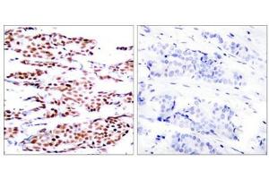
JunB antibody (pSer79)

The Rabbit Polyclonal anti-JunB antibody is suitable to detect JunB in samples from Human. It has been validated for IHC, ELISA and IF.
Catalog No. ABIN7138704
$475.20
Plus shipping costs $50.00
100 μL
Shipping to: United States
Delivery in 13 to 17 Business Days

Quick Overview for JunB antibody (pSer79) (ABIN7138704)

Target

See all JunB (JUNB) Antibodies
JunB (JUNB) (Jun B Proto-Oncogene (JUNB))

Reactivity

  • 135
  • 64
  • 60
  • 10
  • 9
  • 8
  • 7
  • 6
  • 5
  • 4
  • 3
  • 2
  • 2
  • 1
  • 1
  • 1
Human

Host

  • 125
  • 9
  • 1
Rabbit

Clonality

  • 103
  • 32
Polyclonal

Conjugate

  • 72
  • 7
  • 4
  • 4
  • 4
  • 4
  • 4
  • 4
  • 3
  • 3
  • 2
  • 2
  • 2
  • 2
  • 2
  • 2
  • 2
  • 2
  • 2
  • 2
  • 2
  • 1
  • 1
  • 1
  • 1
This JunB antibody is un-conjugated

Application

  • 95
  • 36
  • 36
  • 34
  • 32
  • 27
  • 26
  • 15
  • 13
  • 7
  • 6
  • 3
  • 2
  • 1
Immunohistochemistry (IHC), ELISA, Immunofluorescence (IF)
  • Binding Specificity

    • 29
    • 15
    • 15
    • 13
    • 7
    • 4
    • 3
    • 3
    • 3
    • 3
    • 2
    • 2
    • 2
    • 2
    • 1
    • 1
    • 1
    • 1
    • 1
    • 1
    • 1
    • 1
    • 1
    • 1
    • 1
    • 1
    • 1
    • 1
    • 1
    pSer79

    Purpose

    Phospho-JUNB (Ser79) Antibody

    Cross-Reactivity

    Mouse, Rat

    Purification

    Antibodies were produced by immunizing rabbits with synthetic phosphopeptide and KLH conjugates. Antibodies were purified by affinity-chromatography using epitope-specific phosphopeptide. Non-phospho specific antibodies were removed by chromatogramphy usi

    Immunogen

    Peptide sequence around phosphorylation site of serine 79 (G-A-S(p)-L-K) derived from Human JunB.

    Isotype

    IgG
  • Application Notes

    Optimal working dilution should be determined by the investigator.

    Restrictions

    For Research Use only
  • Format

    Liquid

    Buffer

    Supplied at 1.0 mg/mL in phosphate buffered saline (without Mg2+ and Ca2+), pH 7.4, 150 mM NaCl, 0.02 % sodium azide and 50 % glycerol.

    Preservative

    Sodium azide

    Precaution of Use

    This product contains Sodium azide: a POISONOUS AND HAZARDOUS SUBSTANCE which should be handled by trained staff only.

    Storage

    -20 °C,-80 °C

    Storage Comment

    Upon receipt, store at -20°C or -80°C. Avoid repeated freeze.
  • Target

    JunB (JUNB) (Jun B Proto-Oncogene (JUNB))

    Alternative Name

    JUNB

    Background

    Background: Transcription factor involved in regulating gene activity following the primary growth factor response. Binds to the DNA sequence 5'-TGA[CG]TCA-3'.

    Narayanan K, et al. (2004) J Biol Chem. 279(43): 44294-442302.

    Aliases: Activator protein 1 antibody, AP 1 antibody, AP1 antibody, Jun B antibody, Jun B proto oncogene antibody, Jun B protooncogene antibody, Junb antibody, JunB proto oncogene antibody, JunB protoncogene 9 antibody, JunB protooncogene antibody, JUNB_HUMAN antibody, Transcription factor jun B antibody, Transcription factor jun-B antibody, Transcription factor junB antibody

    UniProt

    P17275
You are here:
Chat with us!