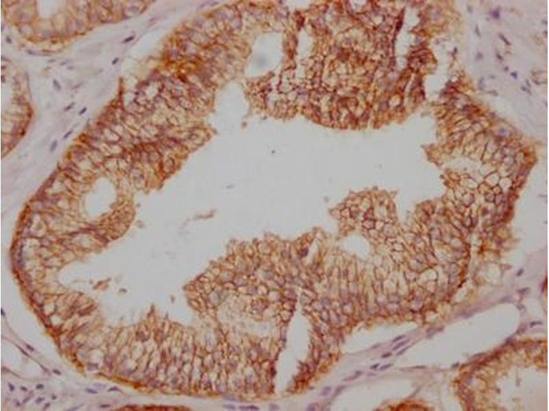
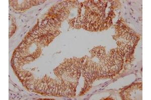
Recombinant SNAP23 antibody
Quick Overview for Recombinant SNAP23 antibody (ABIN7127816)
Target
See all SNAP23 AntibodiesAntibody Type
Reactivity
Host
Clonality
Conjugate
Application
Clone
-
-
Purpose
- SNAP23 Recombinant Monoclonal Antibody
-
Purification
- Affinity-chromatography
-
Immunogen
- A synthesized peptide derived from human SNAP23
-
Isotype
- IgG
-
-
-
-
Application Notes
- IHC:1:50-1:200
-
Restrictions
- For Research Use only
-
-
-
Format
- Liquid
-
Buffer
- phosphate buffered saline, pH 7.4, 150 mM NaCl, 0.02 % sodium azide and 50 % glycerol.
-
Preservative
- Sodium azide
-
Precaution of Use
- This product contains Sodium azide: a POISONOUS AND HAZARDOUS SUBSTANCE which should be handled by trained staff only.
-
Storage
- -20 °C,-80 °C
-
Storage Comment
- Upon receipt, store at -20°C or -80°C. Avoid repeated freeze.
-
-
- SNAP23 (Synaptosomal-Associated Protein, 23kDa (SNAP23))
-
Alternative Name
- SNAP23
-
Background
-
Background: Essential component of the high affinity receptor for the general membrane fusion machinery and an important regulator of transport vesicle docking and fusion.
Aliases: Synaptosomal-associated protein 23 (SNAP-23) (Vesicle-membrane fusion protein SNAP-23), SNAP23
-
UniProt
- O00161
Target
-