Phone:
+1 877 302 8632
Fax:
+1 888 205 9894 (Toll-free)
E-Mail:
orders@antibodies-online.com

Acox2 antibody

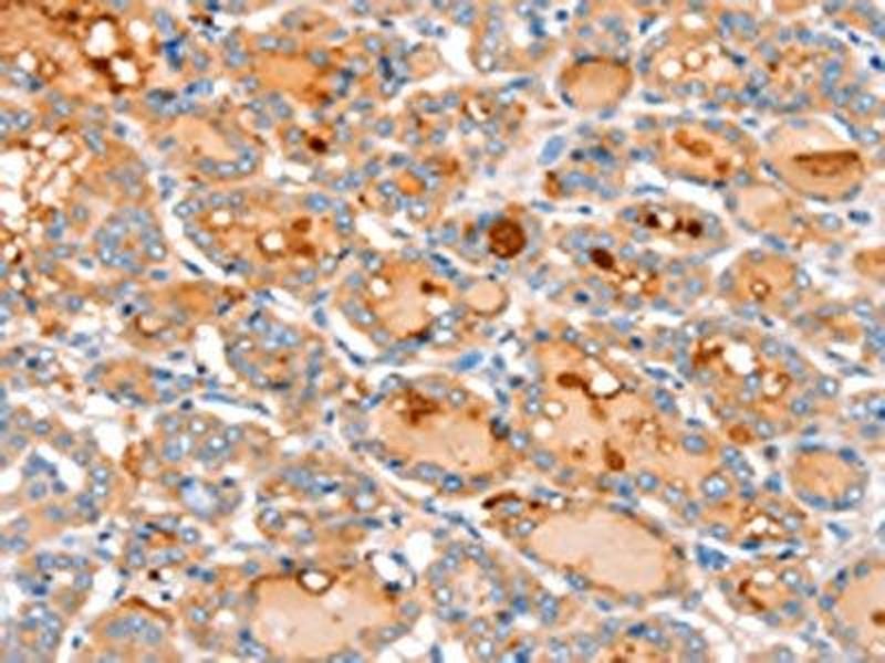
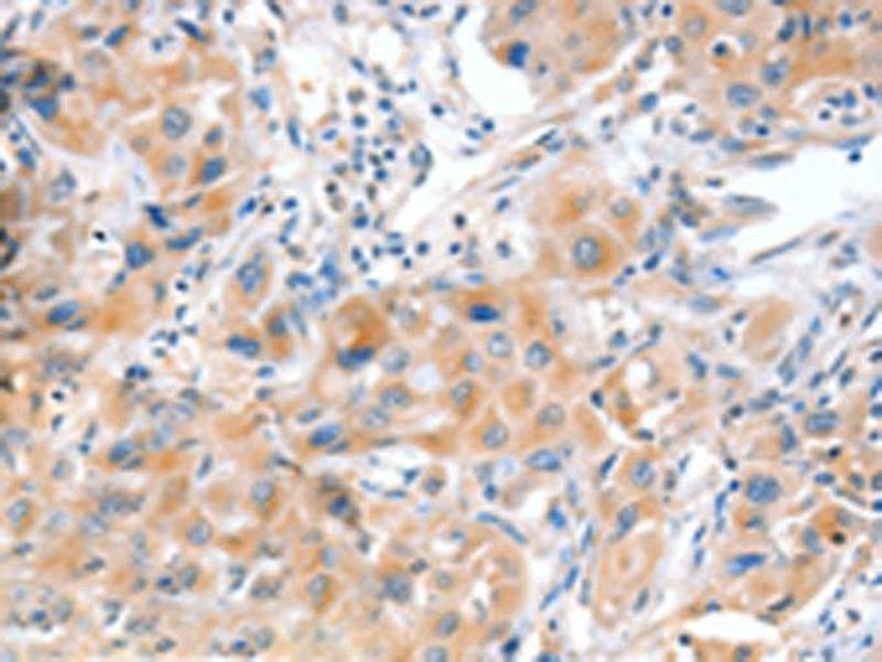
The Rabbit Polyclonal anti-Acox2 antibody (ABIN7128172) specifically detects Acox2 in WB, ELISA and IHC. The antibody is reactive with Human samples.
Catalog No. ABIN7128172
$394.68
Plus shipping costs $50.00
Shipping to: United States
Delivery in 13 to 17 Business Days

Quick Overview for Acox2 antibody (ABIN7128172)

Target

See all Acox2 Antibodies
Acox2 (Acyl-CoA Oxidase 2, Branched Chain (Acox2))

Reactivity

  • 31
  • 29
  • 20
Human

Host

  • 43
  • 4
  • 1
Rabbit

Clonality

  • 46
  • 2
Polyclonal

Conjugate

  • 22
  • 3
  • 2
  • 2
  • 1
  • 1
  • 1
  • 1
  • 1
  • 1
  • 1
  • 1
  • 1
  • 1
  • 1
  • 1
  • 1
  • 1
  • 1
  • 1
  • 1
  • 1
  • 1
This Acox2 antibody is un-conjugated

Application

  • 24
  • 18
  • 13
  • 13
  • 6
  • 3
  • 3
  • 3
  • 3
  • 2
  • 1
Western Blotting (WB), ELISA, Immunohistochemistry (IHC)
  • Purpose

    ACOX2 Antibody

    Cross-Reactivity

    Mouse

    Purification

    Antigen affinity purification

    Immunogen

    Fusion protein of Human ACOX2

    Isotype

    IgG
  • Application Notes

    Optimal working dilution should be determined by the investigator.

    Restrictions

    For Research Use only
  • Format

    Liquid

    Buffer

     pH 7.4 PBS, 0.05 % Sodium azide, 40 % Glycerol

    Preservative

    Sodium azide

    Precaution of Use

    This product contains Sodium azide: a POISONOUS AND HAZARDOUS SUBSTANCE which should be handled by trained staff only.

    Storage

    -20 °C,-80 °C

    Storage Comment

    Upon receipt, store at -20°C or -80°C. Avoid repeated freeze.
  • Target

    Acox2 (Acyl-CoA Oxidase 2, Branched Chain (Acox2))

    Alternative Name

    ACOX2

    Background

    Background: The product of this gene belongs to the acyl-CoA oxidase family. It encodes the branched-chain acyl-CoA oxidase which is involved in the degradation of long branched fatty acids and bile acid intermediates in peroxisomes. Deficiency of this enzyme results in the accumulation of branched fatty acids and bile acid intermediates, and may lead to Zellweger syndrome, severe mental retardation, and death in children.

    Aliases: 12-alpha-trihydroxy-5-beta-cholestanoyl-CoA 24-hydroxylase antibody, 12-alpha-trihydroxy-5-beta-cholestanoyl-CoA oxidase antibody, 3 alpha 7 alpha 12 alpha trihydroxy 5 beta cholestanoyl CoA oxidase antibody, 3 alpha 7 alpha12 alpha trihydroxy 5 beta cholestanoyl CoA 24 hydroxylase antibody, 3-alpha antibody, 7-alpha antibody, ACOX 2 antibody, ACOX2 antibody, ACOX2_HUMAN antibody, Acyl CoA oxidase 2 antibody, Acyl Coenzyme A oxidase 2 antibody, Acyl Coenzyme A oxidase 2 branched chain antibody, Acyl coenzyme A oxidase 2 peroxisomal antibody, BCOX antibody, BRCACOX antibody, BRCOX antibody, Peroxisomal acyl-coenzyme A oxidase 2 antibody, Peroxisomal branched chain acyl CoA oxidase antibody, THCA CoA oxidase antibody, THCA-CoA oxidase antibody, THCCox antibody, Trihydroxycoprostanoyl CoA oxidase antibody, Trihydroxycoprostanoyl-CoA oxidase antibody

    UniProt

    Q99424

    Pathways

    Monocarboxylic Acid Catabolic Process
You are here:
Chat with us!