Phone:
+1 877 302 8632
Fax:
+1 888 205 9894 (Toll-free)
E-Mail:
orders@antibodies-online.com

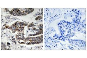
Girdin antibody (pSer1417)

The Rabbit Polyclonal anti-Girdin antibody (ABIN7138609) specifically detects Girdin in ELISA and IHC. The antibody is reactive with Human samples.
Catalog No. ABIN7138609
$475.20
Plus shipping costs $50.00
100 μL
Shipping to: United States
Delivery in 13 to 17 Business Days

Quick Overview for Girdin antibody (pSer1417) (ABIN7138609)

Target

See all Girdin (CCDC88A) Antibodies
Girdin (CCDC88A) (Coiled-Coil Domain Containing 88A (CCDC88A))

Reactivity

  • 58
  • 18
  • 6
  • 1
  • 1
  • 1
  • 1
  • 1
  • 1
Human

Host

  • 59
Rabbit

Clonality

  • 56
  • 3
Polyclonal

Conjugate

  • 23
  • 3
  • 2
  • 2
  • 2
  • 2
  • 2
  • 2
  • 2
  • 2
  • 2
  • 2
  • 2
  • 2
  • 2
  • 1
  • 1
  • 1
  • 1
  • 1
  • 1
  • 1
This Girdin antibody is un-conjugated

Application

  • 37
  • 18
  • 15
  • 14
  • 14
  • 9
  • 8
  • 4
  • 3
  • 2
  • 2
  • 1
ELISA, Immunohistochemistry (IHC)
  • Binding Specificity

    • 27
    • 15
    • 3
    • 3
    • 2
    • 1
    • 1
    • 1
    • 1
    • 1
    • 1
    • 1
    pSer1417

    Purpose

    Phospho-CCDC88A (Ser1417) Antibody

    Cross-Reactivity

    Mouse

    Purification

    Antibodies were produced by immunizing rabbits with synthetic phosphopeptide and KLH conjugates. Antibodies were purified by affinity-chromatography using epitope-specific phosphopeptide. Non-phospho specific antibodies were removed by chromatogramphy usi

    Immunogen

    Peptide sequence around phosphorylation site of Serine 417(L-E-M(p)-A-Q) derived from Human Girdin .

    Isotype

    IgG
  • Application Notes

    Optimal working dilution should be determined by the investigator.

    Restrictions

    For Research Use only
  • Format

    Liquid

    Buffer

    phosphate buffered saline (without Mg2+ and Ca2+), pH 7.4, 150 mM NaCl, 0.02 % sodium azide and 50 % glycerol.

    Preservative

    Sodium azide

    Precaution of Use

    This product contains Sodium azide: a POISONOUS AND HAZARDOUS SUBSTANCE which should be handled by trained staff only.

    Storage

    -20 °C,-80 °C

    Storage Comment

    Upon receipt, store at -20°C or -80°C. Avoid repeated freeze.
  • Target

    Girdin (CCDC88A) (Coiled-Coil Domain Containing 88A (CCDC88A))

    Alternative Name

    CCDC88A

    Background

    Background:

    girdin IS a ubiquitously expressed actin binding protein that plays an important role in the formation of stress fibers and lamellipodia. Subsequent to phosphorylation by Akt, Girdin accumulates at the leading edge of migrating cells and appears to be crucial for the integrity of the actin cytoskeleton and for cell migration.

    Enomoto A., Dev. Cell 9:389-402(2005).
    Simpson F., Traffic 6:442-458(2005).
    Hillier L.W., Nature 434:724-731(2005).

    Aliases: AKT iphosphorylation enhancer antibody, Akt phosphorylation enhancer antibody, APE antibody, Ccdc88a antibody, Coiled coil domain containing 88A antibody, Coiled coil domain containing protein 88A antibody, Coiled-coil domain-containing protein 88A antibody, FLJ10392 antibody, G alpha interacting vesicle associated protein antibody, G alpha-interacting vesicle-associated protein antibody, Galpha interacting vesicle associated protein antibody, Girders of actin filament antibody, Girdin antibody, GIV antibody, GRDN antibody, GRDN_HUMAN antibody, HkRP1 antibody, Hook related protein 1 antibody, Hook-related protein 1 antibody, KIAA1212 antibody

    UniProt

    Q3V6T2
You are here:
Chat with us!