Phone:
+1 877 302 8632
Fax:
+1 888 205 9894 (Toll-free)
E-Mail:
orders@antibodies-online.com

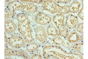
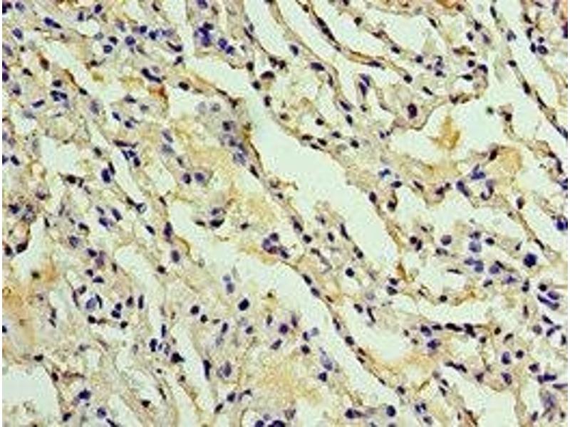
AKAP8L antibody (AA 1-240)

The Rabbit Polyclonal anti-AKAP8L antibody (ABIN7142914) specifically detects AKAP8L in ELISA and IHC. The antibody is reactive with Human samples.
Catalog No. ABIN7142914
$394.68
Plus shipping costs $50.00
Shipping to: United States
Delivery in 13 to 17 Business Days

Quick Overview for AKAP8L antibody (AA 1-240) (ABIN7142914)

Target

See all AKAP8L Antibodies
AKAP8L (A Kinase (PRKA) Anchor Protein 8-Like (AKAP8L))

Reactivity

  • 35
  • 13
  • 7
  • 6
  • 6
  • 5
  • 5
  • 4
  • 3
  • 1
  • 1
  • 1
  • 1
Human

Host

  • 35
Rabbit

Clonality

  • 35
Polyclonal

Conjugate

  • 23
  • 2
  • 1
  • 1
  • 1
  • 1
  • 1
  • 1
  • 1
  • 1
  • 1
  • 1
This AKAP8L antibody is un-conjugated

Application

  • 25
  • 13
  • 8
  • 5
  • 3
  • 3
  • 1
  • 1
ELISA, Immunohistochemistry (IHC)
  • Binding Specificity

    • 8
    • 5
    • 3
    • 2
    • 1
    • 1
    • 1
    • 1
    • 1
    • 1
    AA 1-240

    Purpose

    AKAP8L Antibody

    Purification

    Antigen Affinity Purified

    Immunogen

    Recombinant Human A-kinase anchor protein 8-like protein (1-240AA)

    Isotype

    IgG
  • Application Notes

    Optimal working dilution should be determined by the investigator.

    Restrictions

    For Research Use only
  • Format

    Liquid

    Buffer

    PBS with 0.02 % sodium azide, 50 % glycerol, pH 7.3.

    Preservative

    Sodium azide

    Precaution of Use

    This product contains Sodium azide: a POISONOUS AND HAZARDOUS SUBSTANCE which should be handled by trained staff only.

    Storage

    -20 °C,-80 °C

    Storage Comment

    Upon receipt, store at -20°C or -80°C. Avoid repeated freeze.
  • Target

    AKAP8L (A Kinase (PRKA) Anchor Protein 8-Like (AKAP8L))

    Alternative Name

    AKAP8L

    Background

    Background: Could play a role in constitutive transport element (CTE)-mediated gene expression. Does not seem to be implicated in the binding of regulatory subunit II of PKA. May be involved in nuclear envelope breakdown and chromatin condensation. May regulate the initiation phase of DNA replication when associated with TMPO-beta.

    Aliases: AKAP8L antibody, NAKAP antibody, NAKAP95 antibody, HRIHFB2018A-kinase anchor protein 8-like antibody, AKAP8-like protein antibody, Helicase A-binding protein 95 antibody, HAP95 antibody, Homologous to AKAP95 protein antibody, HA95 antibody, Neighbor of A-kinase-anchoring protein 95 antibody, Neighbor of AKAP95 antibody

    UniProt

    Q9ULX6

    Pathways

    SARS-CoV-2 Protein Interactome
You are here:
Chat with us!