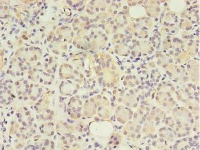
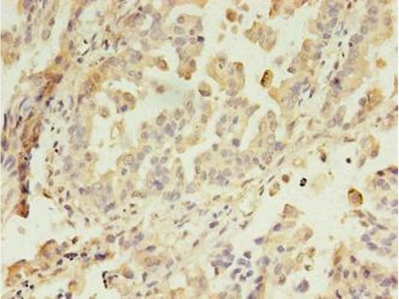
GIT2 antibody (AA 1-603)
Quick Overview for GIT2 antibody (AA 1-603) (ABIN7144550)
Target
See all GIT2 AntibodiesReactivity
Host
Clonality
Conjugate
Application
-
-
Binding Specificity
- AA 1-603
-
Purpose
- GIT2 Antibody
-
Purification
- Protein G purified
-
Purity
- >95 %
-
Immunogen
- Recombinant Human ARF GTPase-activating protein GIT2 protein (1-603AA)
-
Isotype
- IgG
-
-
-
-
Application Notes
- Optimal working dilution should be determined by the investigator.
-
Restrictions
- For Research Use only
-
-
-
Format
- Liquid
-
Buffer
-
Preservative: 0.03 % Proclin 300
Constituents: 50 % Glycerol, 0.01M PBS, PH 7.4 -
Preservative
- ProClin
-
Precaution of Use
- This product contains ProClin: a POISONOUS AND HAZARDOUS SUBSTANCE which should be handled by trained staff only.
-
Storage
- -20 °C,-80 °C
-
Storage Comment
- Upon receipt, store at -20°C or -80°C. Avoid repeated freeze.
-
-
- GIT2 (G Protein-Coupled Receptor Kinase Interactor 2 (GIT2))
-
Alternative Name
- GIT2
-
Background
-
Background: GTPase-activating protein for the ADP ribosylation factor family.
Aliases: ARF GAP GIT2 antibody, ARF GTPase activating protein GIT2 antibody, ARF GTPase-activating protein GIT2 antibody, CAT 2 antibody, CAT-2 antibody, CAT2 antibody, Cool associated tyrosine phosphorylated protein 2 antibody, Cool interacting tyrosine phosphorylated protein 2 antibody, Cool-interacting tyrosine-phosphorylated protein 2 antibody, DKFZp686G01261 antibody, G protein coupled receptor kinase interacting ArfGAP 2 antibody, G protein coupled receptor kinase interactor 2 antibody, G protein-coupled receptor kinase-interactor 2 antibody, GIT 2 antibody, GIT2 antibody, GIT2_HUMAN antibody, GRK interacting protein 2 antibody, GRK-interacting protein 2 antibody, KIAA0148 antibody, MGC760 antibody
-
UniProt
- Q14161
-
Pathways
- Regulation of G-Protein Coupled Receptor Protein Signaling
Target
-