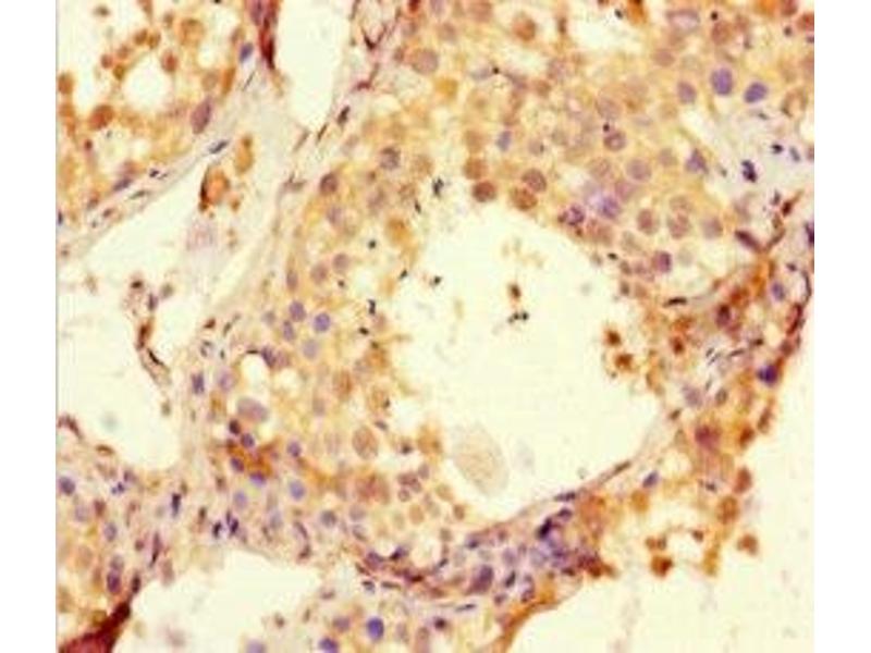
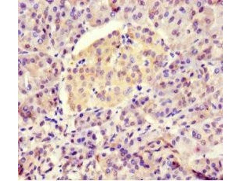
BTNL2 antibody (AA 26-202)
Quick Overview for BTNL2 antibody (AA 26-202) (ABIN7145898)
Target
See all BTNL2 AntibodiesReactivity
Host
Clonality
Conjugate
Application
-
-
Binding Specificity
- AA 26-202
-
Purpose
- BTNL2 Antibody
-
Cross-Reactivity
- Mouse
-
Purification
- Protein G purified
-
Purity
- >95 %
-
Immunogen
- Recombinant Human Butyrophilin-like protein 2 protein (26-202AA)
-
Isotype
- IgG
-
-
-
-
Application Notes
- Optimal working dilution should be determined by the investigator.
-
Restrictions
- For Research Use only
-
-
-
Format
- Liquid
-
Buffer
-
Preservative: 0.03 % Proclin 300
Constituents: 50 % Glycerol, 0.01M PBS, PH 7.4 -
Preservative
- ProClin
-
Precaution of Use
- This product contains ProClin: a POISONOUS AND HAZARDOUS SUBSTANCE which should be handled by trained staff only.
-
Storage
- -20 °C,-80 °C
-
Storage Comment
- Upon receipt, store at -20°C or -80°C. Avoid repeated freeze.
-
-
- BTNL2 (Butyrophilin-Like 2 (MHC Class II Associated) (BTNL2))
-
Alternative Name
- BTNL2
-
Background
-
Background: Negative regulator of T-cell proliferation.
Aliases: BTNL2Butyrophilin-like protein 2 antibody, BTL-II antibody
-
UniProt
- Q9UIR0
Target
-