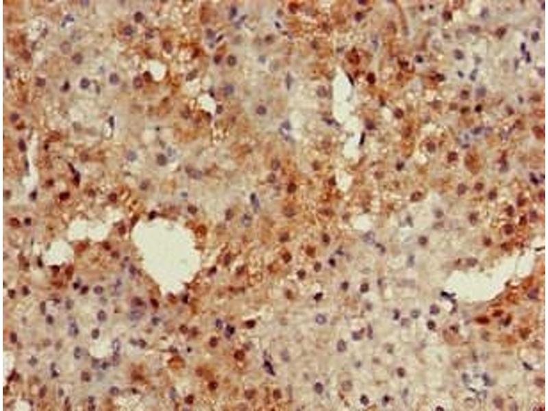
PKIB antibody (AA 1-77)
Quick Overview for PKIB antibody (AA 1-77) (ABIN7146610)
Target
See all PKIB AntibodiesReactivity
Host
Clonality
Conjugate
Application
-
-
Binding Specificity
- AA 1-77
-
Purpose
- PKIB Antibody
-
Purification
- Protein G purified
-
Purity
- >95 %
-
Immunogen
- Recombinant Human cAMP-dependent protein kinase inhibitor beta protein (1-77AA)
-
Isotype
- IgG
-
-
-
-
Application Notes
- Optimal working dilution should be determined by the investigator.
-
Restrictions
- For Research Use only
-
-
-
Format
- Liquid
-
Buffer
-
Preservative: 0.03 % Proclin 300
Constituents: 50 % Glycerol, 0.01M PBS, pH 7.4 -
Preservative
- ProClin
-
Precaution of Use
- This product contains ProClin: a POISONOUS AND HAZARDOUS SUBSTANCE which should be handled by trained staff only.
-
Storage
- -20 °C,-80 °C
-
Storage Comment
- Upon receipt, store at -20°C or -80°C. Avoid repeated freeze.
-
-
- PKIB (Protein Kinase (CAMP-Dependent, Catalytic) Inhibitor beta (PKIB))
-
Alternative Name
- PKIB
-
Background
-
Background: Extremely potent competitive inhibitor of cAMP-dependent protein kinase activity, this protein interacts with the catalytic subunit of the enzyme after the cAMP-induced dissociation of its regulatory chains.
Aliases: cAMP dependent protein kinase inhibitor 2 antibody, cAMP-dependent protein kinase inhibitor beta antibody, FLJ23817 antibody, IPKB_HUMAN antibody, OTTHUMP00000017115 antibody, OTTHUMP00000017116 antibody, OTTHUMP00000017117 antibody, PKI-beta antibody, PKIB antibody, PRKACN2 antibody, Protein kinase (cAMP dependent, catalytic) inhibitor beta antibody
-
UniProt
- Q9C010
-
Pathways
- Myometrial Relaxation and Contraction
Target
-