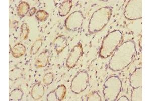
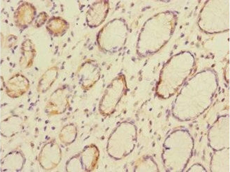
CEACAM4 antibody (AA 36-155)
Quick Overview for CEACAM4 antibody (AA 36-155) (ABIN7146794)
Target
See all CEACAM4 AntibodiesReactivity
Host
Clonality
Conjugate
Application
-
-
Binding Specificity
- AA 36-155
-
Purpose
- CEACAM4 Antibody
-
Purification
- Antigen Affinity Purified
-
Immunogen
- Recombinant Human Carcinoembryonic antigen-related cell adhesion molecule 4 protein (36-155AA)
-
Isotype
- IgG
-
-
-
-
Application Notes
- Optimal working dilution should be determined by the investigator.
-
Restrictions
- For Research Use only
-
-
-
Format
- Liquid
-
Buffer
- PBS with 0.02 % sodium azide, 50 % glycerol, pH 7.3.
-
Preservative
- Sodium azide
-
Precaution of Use
- This product contains Sodium azide: a POISONOUS AND HAZARDOUS SUBSTANCE which should be handled by trained staff only.
-
Storage
- -20 °C,-80 °C
-
Storage Comment
- Upon receipt, store at -20°C or -80°C. Avoid repeated freeze.
-
-
- CEACAM4 (Carcinoembryonic Antigen-Related Cell Adhesion Molecule 4 (CEACAM4))
-
Alternative Name
- CEACAM4
-
Background
-
Background: Granulocyte orphan receptor that acts as an trigger efficient phagocytosis of attached particles.
Aliases: CEACAM4 antibody, CGM7Carcinoembryonic antigen-related cell adhesion molecule 4 antibody, Carcinoembryonic antigen CGM7 antibody, Non-specific cross-reacting antigen W236 antibody
-
UniProt
- O75871
Target
-