Phone:
+1 877 302 8632
Fax:
+1 888 205 9894 (Toll-free)
E-Mail:
orders@antibodies-online.com

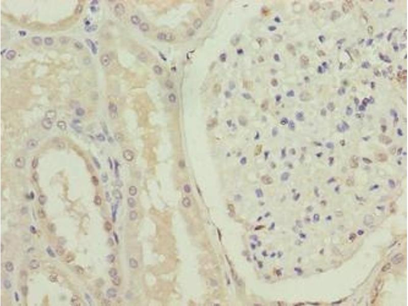
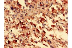
FOXR2 antibody (AA 1-300)

The Rabbit Polyclonal anti-FOXR2 antibody (ABIN7153105) specifically detects FOXR2 in ELISA, WB and IHC. The antibody is reactive with Human samples.
Catalog No. ABIN7153105
$394.68
Plus shipping costs $50.00
Shipping to: United States
Delivery in 13 to 17 Business Days

Quick Overview for FOXR2 antibody (AA 1-300) (ABIN7153105)

Target

FOXR2 (Forkhead Box R2 (FOXR2))

Reactivity

  • 19
  • 2
  • 1
  • 1
Human

Host

  • 17
  • 2
Rabbit

Clonality

  • 17
  • 2
Polyclonal

Conjugate

  • 9
  • 2
  • 1
  • 1
  • 1
  • 1
  • 1
  • 1
  • 1
  • 1
This FOXR2 antibody is un-conjugated

Application

  • 9
  • 5
  • 5
  • 2
  • 2
ELISA, Western Blotting (WB), Immunohistochemistry (IHC)
  • Binding Specificity

    • 4
    • 2
    • 1
    • 1
    • 1
    • 1
    • 1
    AA 1-300

    Purpose

    FOXR2 Antibody

    Purification

    Protein G purified

    Purity

    >95 %

    Immunogen

    Recombinant Human Forkhead box protein R2 protein (1-300AA)

    Isotype

    IgG
  • Application Notes

    Optimal working dilution should be determined by the investigator.

    Restrictions

    For Research Use only
  • Format

    Liquid

    Buffer

    Preservative: 0.03 % Proclin 300
    Constituents: 50 % Glycerol, 0.01M PBS, PH 7.4

    Preservative

    ProClin

    Precaution of Use

    This product contains ProClin: a POISONOUS AND HAZARDOUS SUBSTANCE which should be handled by trained staff only.

    Storage

    -20 °C,-80 °C

    Storage Comment

    Upon receipt, store at -20°C or -80°C. Avoid repeated freeze.
  • Target

    FOXR2 (Forkhead Box R2 (FOXR2))

    Alternative Name

    FOXR2

    Background

    Background: nucleus, RNA polymerase II transcription factor activity, sequence-specific DNA binding, anatomical structure morphogenesis, cell differentiation, regulation of transcription from RNA polymerase II promoter

    Aliases: Forkhead box protein N6 antibody, Forkhead box protein R2 antibody, FOXN6 antibody, Foxr2 antibody, FOXR2_HUMAN antibody

    UniProt

    Q6PJQ5
You are here:
Chat with us!