Phone:
+1 877 302 8632
Fax:
+1 888 205 9894 (Toll-free)
E-Mail:
orders@antibodies-online.com

FOXR2 antibody (N-Term)

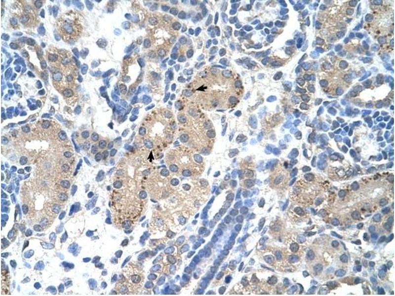
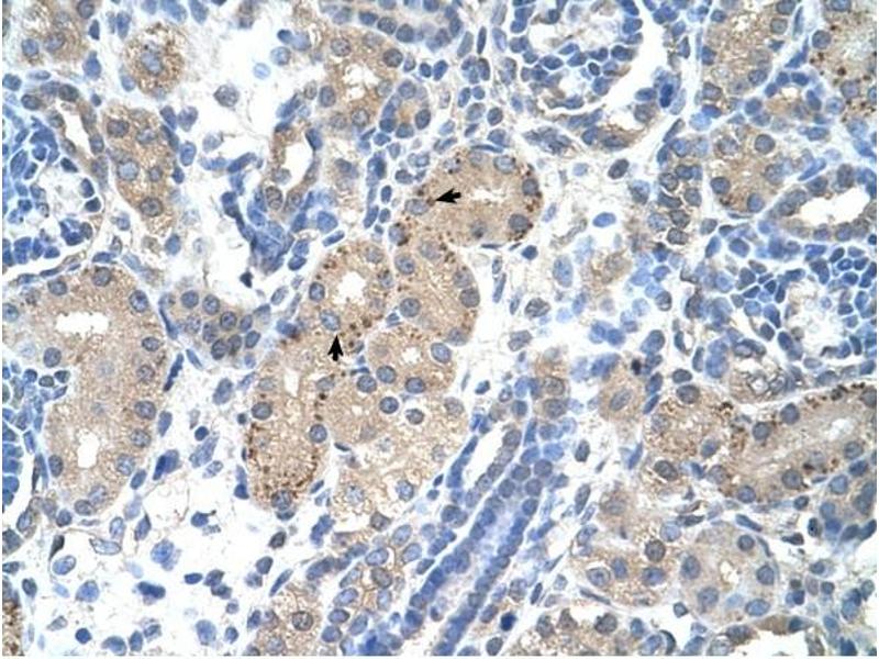
The Rabbit Polyclonal anti-FOXR2 antibody is suitable to detect FOXR2 in samples from Human. It has been validated for WB and IHC.
Catalog No. ABIN925955
$1,143.75
Plus shipping costs $50.00
100 μg
Shipping to: United States
Delivery in 16 to 22 Business Days

Quick Overview for FOXR2 antibody (N-Term) (ABIN925955)

Target

FOXR2 (Forkhead Box R2 (FOXR2))

Reactivity

  • 19
  • 2
  • 1
  • 1
Human

Host

  • 17
  • 2
Rabbit

Clonality

  • 17
  • 2
Polyclonal

Conjugate

  • 9
  • 2
  • 1
  • 1
  • 1
  • 1
  • 1
  • 1
  • 1
  • 1
This FOXR2 antibody is un-conjugated

Application

  • 9
  • 6
  • 5
  • 2
  • 2
Western Blotting (WB), Immunohistochemistry (IHC)
  • Binding Specificity

    • 5
    • 1
    • 1
    • 1
    • 1
    • 1
    • 1
    N-Term

    Immunogen

    FOXR2 antibody was raised in rabbit using the N terminal of FOXR2 as the immunogen
  • Application Notes

    WB: 1.25 µg/mL
    Optimal conditions should be determined by the investigator.

    Comment

    FOXR2 Blocking Peptide, (ABIN5613639), is also available for use as a blocking control in assays to test for specificity of this FOXR2 antibody

    Restrictions

    For Research Use only
  • Format

    Lyophilized

    Concentration

    Lot specific

    Buffer

    Lyophilized powder. Add 100 µL of distilled water. Final antibody concentration is 1 mg/mL in PBS buffer.

    Handling Advice

    Avoid repeated freeze/thaw cycles.

    Storage

    4 °C/-20 °C

    Storage Comment

    Store at 4 °C, following reconstitution, aliquot and store at -20 °C.
  • Target

    FOXR2 (Forkhead Box R2 (FOXR2))

    Alternative Name

    FOXR2

    Background

    Forkhead-box (FOX) transcription factors are implicated in carcinogenesis through gene amplification, retroviral integration, or chromosomal translocation. Human FOXN6 mRNA was expressed in breast cancer cell line and primary breast cancer. Synonyms: Polyclonal FOXR2 antibody, Anti-FOXR2 antibody, forkhead box R2 antibody, FOXN6 antibody, MGC21658 antibody.
You are here:
Chat with us!