Phone:
+1 877 302 8632
Fax:
+1 888 205 9894 (Toll-free)
E-Mail:
orders@antibodies-online.com

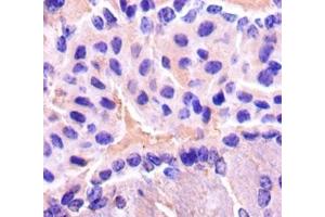
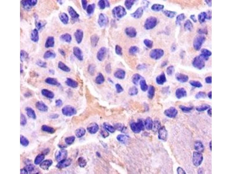
ENO2/NSE antibody (AA 2-431)

The Rabbit Polyclonal anti-ENO2/NSE antibody (ABIN7153540) specifically detects ENO2/NSE in WB, IHC and ELISA. The antibody is reactive with Human samples.
Catalog No. ABIN7153540
$394.68
Plus shipping costs $50.00
Shipping to: United States
Delivery in 13 to 17 Business Days

Quick Overview for ENO2/NSE antibody (AA 2-431) (ABIN7153540)

Target

See all ENO2/NSE (ENO2) Antibodies
ENO2/NSE (ENO2) (Enolase 2 (Gamma, Neuronal) (ENO2))

Reactivity

  • 217
  • 100
  • 83
  • 6
  • 5
  • 5
  • 5
  • 5
  • 3
  • 3
  • 3
  • 3
  • 2
  • 2
  • 2
  • 2
  • 1
Human

Host

  • 122
  • 107
  • 5
  • 1
  • 1
Rabbit

Clonality

  • 120
  • 116
Polyclonal

Conjugate

  • 117
  • 21
  • 17
  • 9
  • 6
  • 6
  • 3
  • 3
  • 3
  • 3
  • 3
  • 3
  • 2
  • 2
  • 2
  • 2
  • 2
  • 2
  • 2
  • 2
  • 2
  • 2
  • 2
  • 2
  • 2
  • 2
  • 2
  • 2
  • 2
  • 2
  • 2
  • 2
  • 1
  • 1
This ENO2/NSE antibody is un-conjugated

Application

  • 172
  • 107
  • 68
  • 44
  • 35
  • 34
  • 27
  • 26
  • 17
  • 13
  • 11
  • 9
  • 8
  • 6
  • 4
  • 3
  • 3
  • 2
  • 2
  • 1
  • 1
  • 1
  • 1
  • 1
Western Blotting (WB), Immunohistochemistry (IHC), ELISA
  • Binding Specificity

    • 32
    • 26
    • 9
    • 9
    • 9
    • 7
    • 7
    • 5
    • 2
    • 2
    • 2
    • 2
    • 2
    • 2
    • 1
    • 1
    • 1
    • 1
    • 1
    • 1
    • 1
    • 1
    • 1
    • 1
    • 1
    • 1
    AA 2-431

    Purpose

    ENO2 Antibody

    Cross-Reactivity

    Mouse

    Purification

    Protein G purified

    Purity

    >95 %

    Immunogen

    Recombinant Human Gamma-enolase protein (2-431AA)

    Isotype

    IgG
  • Application Notes

    Optimal working dilution should be determined by the investigator.

    Restrictions

    For Research Use only
  • Format

    Liquid

    Buffer

    Preservative: 0.03 % Proclin 300
    Constituents: 50 % Glycerol, 0.01M PBS, PH 7.4

    Preservative

    ProClin

    Precaution of Use

    This product contains ProClin: a POISONOUS AND HAZARDOUS SUBSTANCE which should be handled by trained staff only.

    Storage

    -20 °C,-80 °C

    Storage Comment

    Upon receipt, store at -20°C or -80°C. Avoid repeated freeze.
  • Target

    ENO2/NSE (ENO2) (Enolase 2 (Gamma, Neuronal) (ENO2))

    Alternative Name

    ENO2

    Background

    Background: Has neurotrophic and neuroprotective properties on a broad spectrum of central nervous system (CNS) neurons. Binds, in a calcium-dependent manner, to cultured neocortical neurons and promotes cell survival

    Aliases: 2 phospho D glycerate hydrolyase antibody, 2-phospho-D-glycerate hydro-lyase antibody, Eno 2 antibody, ENO2 antibody, ENOG antibody, ENOG_HUMAN antibody, Enolase 2 (gamma, neuronal) antibody, Enolase 2 antibody, Enolase 2 gamma neuronal antibody, Enolase2 antibody, Epididymis secretory protein Li 279 antibody, Gamma enolase antibody, Gamma-enolase antibody, HEL S 279 antibody, Neural enolase antibody, Neuron specific enolase antibody, Neuron specific gamma enolase antibody, Neuron-specific enolase antibody, neuronal enriched enolase antibody, Neurone specific enolase antibody, NSE antibody

    UniProt

    P09104
You are here:
Chat with us!