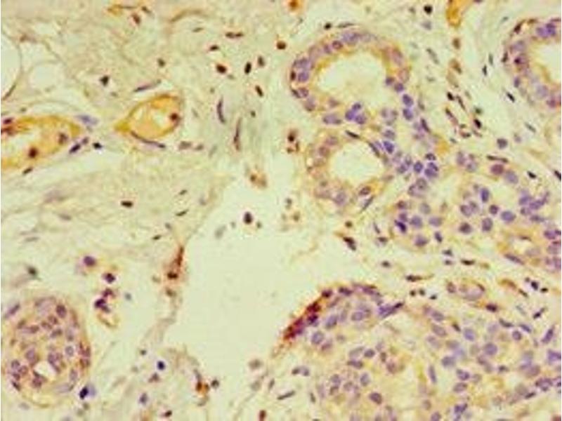
GTF2H2C antibody (AA 1-260)
Quick Overview for GTF2H2C antibody (AA 1-260) (ABIN7153805)
Target
See all GTF2H2C AntibodiesReactivity
Host
Clonality
Conjugate
Application
-
-
Binding Specificity
- AA 1-260
-
Purpose
- GTF2H2C Antibody
-
Purification
- Antigen Affinity Purified
-
Immunogen
- Recombinant Human General transcription factor IIH subunit 2-like protein (1-260AA)
-
Isotype
- IgG
-
-
-
-
Application Notes
- Optimal working dilution should be determined by the investigator.
-
Restrictions
- For Research Use only
-
-
-
Format
- Liquid
-
Buffer
- PBS with 0.02 % sodium azide, 50 % glycerol, pH 7.3.
-
Preservative
- Sodium azide
-
Precaution of Use
- This product contains Sodium azide: a POISONOUS AND HAZARDOUS SUBSTANCE which should be handled by trained staff only.
-
Storage
- -20 °C,-80 °C
-
Storage Comment
- Upon receipt, store at -20°C or -80°C. Avoid repeated freeze.
-
-
- GTF2H2C (General Transcription Factor IIH, Polypeptide 2C (GTF2H2C))
-
Alternative Name
- GTF2H2C
-
Background
-
Background: Component of the core-TFIIH basal transcription factor involved in nucleotide excision repair (NER) of DNA and, when complexed to CAK, in RNA transcription by RNA polymerase II.
Aliases: GTF2H2C, antibody, GTF2H2C_2 antibody, GTF2H2D antibody, General transcription factor IIH subunit 2-like protein antibody, General transcription factor IIH polypeptide 2-like protein antibody
-
UniProt
- Q6P1K8
Target
-