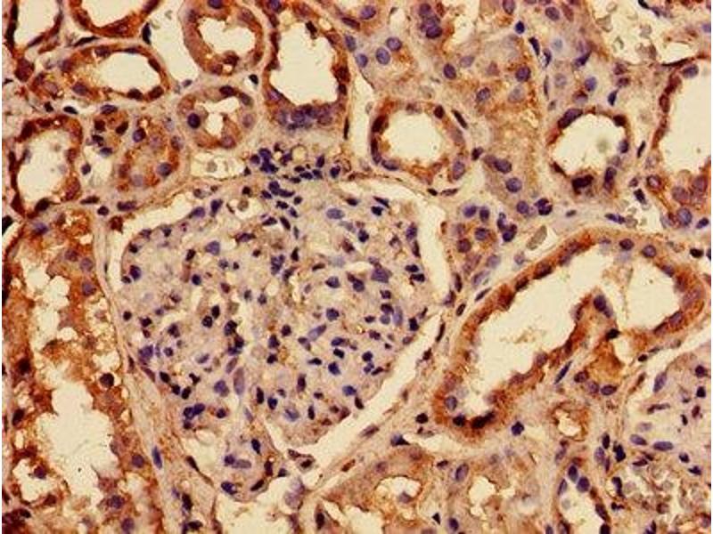
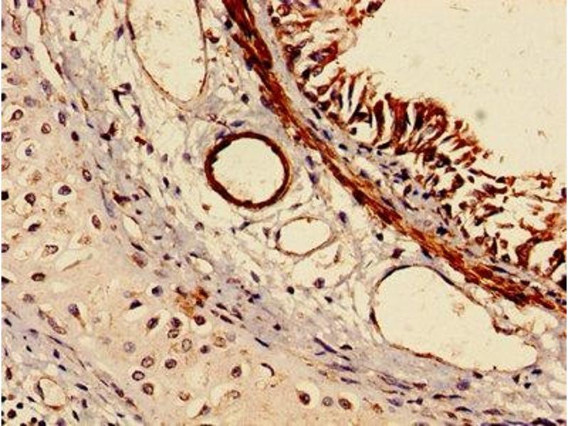
RABGGTA antibody (AA 1-200)
Quick Overview for RABGGTA antibody (AA 1-200) (ABIN7153823)
Target
See all RABGGTA AntibodiesReactivity
Host
Clonality
Conjugate
Application
-
-
Binding Specificity
- AA 1-200
-
Purpose
- RABGGTA Antibody
-
Cross-Reactivity
- Mouse
-
Purification
- Protein G purified
-
Purity
- >95 %
-
Immunogen
- Recombinant Human Geranylgeranyl transferase type-2 subunit alpha protein (1-200AA)
-
Isotype
- IgG
-
-
-
-
Application Notes
- Optimal working dilution should be determined by the investigator.
-
Restrictions
- For Research Use only
-
-
-
Format
- Liquid
-
Buffer
-
Preservative: 0.03 % Proclin 300
Constituents: 50 % Glycerol, 0.01M PBS, PH 7.4 -
Preservative
- ProClin
-
Precaution of Use
- This product contains ProClin: a POISONOUS AND HAZARDOUS SUBSTANCE which should be handled by trained staff only.
-
Storage
- -20 °C,-80 °C
-
Storage Comment
- Upon receipt, store at -20°C or -80°C. Avoid repeated freeze.
-
-
- RABGGTA (Rab Geranylgeranyltransferase, alpha Subunit (RABGGTA))
-
Alternative Name
- RABGGTA
-
Background
-
Background: Catalyzes the transfer of a geranylgeranyl moiety from geranylgeranyl diphosphate to both cysteines of Rab proteins with the C-terminal sequence -XXCC, -XCXC and -CCXX, such as RAB1A, RAB3A, RAB5A and RAB7A.
Aliases: Geranylgeranyl transferase type 2 subunit alpha antibody, Geranylgeranyl transferase type II subunit alpha antibody, Geranylgeranyl transferase type-2 subunit alpha antibody, PGTA_HUMAN antibody, Protein prenyltransferase alpha subunit repeat containing 3 antibody, PTAR3 antibody, Rab geranyl geranyltransferase subunit alpha antibody, Rab geranyl-geranyltransferase subunit alpha antibody, Rab geranylgeranyltransferase alpha subunit antibody, Rab geranylgeranyltransferase subunit alpha antibody, Rab GG transferase alpha antibody, Rab GGTase alpha antibody, RABGGTA antibody
-
UniProt
- Q92696
Target
-