Phone:
+1 877 302 8632
Fax:
+1 888 205 9894 (Toll-free)
E-Mail:
orders@antibodies-online.com

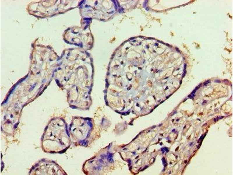
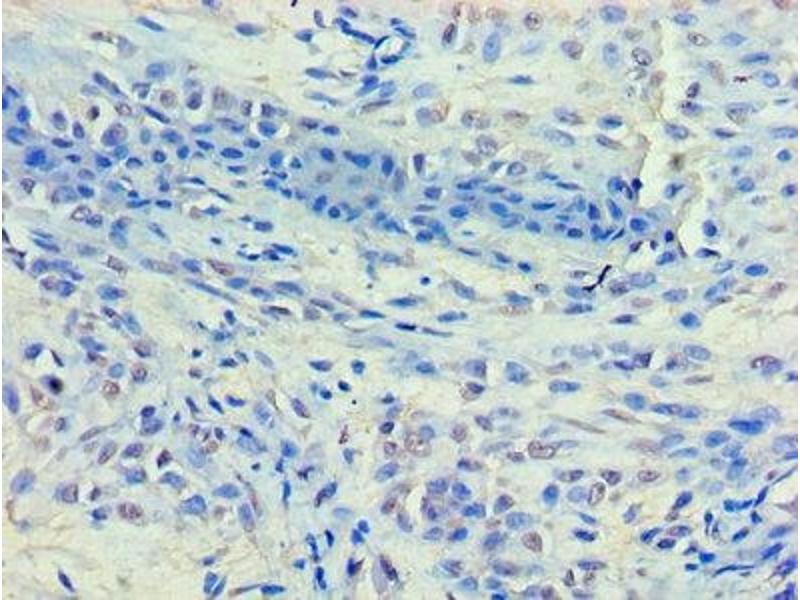
HDAC8 antibody (AA 1-377)

The Rabbit Polyclonal anti-HDAC8 antibody is suitable to detect HDAC8 in samples from Human. It has been validated for IHC, ELISA and IF.
Catalog No. ABIN7155327
$394.68
Plus shipping costs $50.00
Shipping to: United States
Delivery in 13 to 17 Business Days

Quick Overview for HDAC8 antibody (AA 1-377) (ABIN7155327)

Target

See all HDAC8 Antibodies
HDAC8 (Histone Deacetylase 8 (HDAC8))

Reactivity

  • 119
  • 58
  • 41
  • 8
  • 4
  • 4
  • 3
  • 3
  • 3
  • 3
  • 2
  • 1
  • 1
  • 1
Human

Host

  • 114
  • 5
  • 1
Rabbit

Clonality

  • 85
  • 35
Polyclonal

Conjugate

  • 52
  • 7
  • 5
  • 4
  • 4
  • 4
  • 4
  • 4
  • 4
  • 4
  • 2
  • 2
  • 2
  • 2
  • 2
  • 2
  • 2
  • 2
  • 2
  • 2
  • 2
  • 2
  • 2
  • 1
  • 1
This HDAC8 antibody is un-conjugated

Application

  • 71
  • 38
  • 36
  • 27
  • 26
  • 25
  • 22
  • 20
  • 19
  • 18
  • 6
  • 2
  • 1
Immunohistochemistry (IHC), ELISA, Immunofluorescence (IF)
  • Binding Specificity

    • 30
    • 15
    • 11
    • 8
    • 6
    • 3
    • 2
    • 2
    • 1
    • 1
    • 1
    • 1
    • 1
    • 1
    • 1
    AA 1-377

    Purpose

    HDAC8 Antibody

    Purification

    Protein G purified

    Purity

    >95 %

    Immunogen

    Recombinant Human Histone deacetylase 8 protein (1-377AA)

    Isotype

    IgG
  • Application Notes

    Optimal working dilution should be determined by the investigator.

    Restrictions

    For Research Use only
  • Format

    Liquid

    Buffer

    Preservative: 0.03 % Proclin 300
    Constituents: 50 % Glycerol, 0.01M PBS, PH 7.4

    Preservative

    ProClin

    Precaution of Use

    This product contains ProClin: a POISONOUS AND HAZARDOUS SUBSTANCE which should be handled by trained staff only.

    Storage

    -20 °C,-80 °C

    Storage Comment

    Upon receipt, store at -20°C or -80°C. Avoid repeated freeze.
  • Target

    HDAC8 (Histone Deacetylase 8 (HDAC8))

    Alternative Name

    HDAC8

    Background

    Background: Responsible for the deacetylation of lysine residues on the N-terminal part of the core histones (H2A, H2B, H3 and H4). Histone deacetylation gives a tag for epigenetic repression and plays an important role in transcriptional regulation, cell cycle progression and developmental events. Histone deacetylases act via the formation of large multiprotein complexes. Also involved in the deacetylation of cohesin complex protein SMC3 regulating release of cohesin complexes from chromatin. May play a role in smooth muscle cell contractility.

    Aliases: CDA07 antibody, CDLS5 antibody, HD 8 antibody, HD8 antibody, HDAC 8 antibody, Hdac8 antibody, HDAC8_HUMAN antibody, HDACL 1 antibody, HDACL1 antibody, Histone deacetylase 8 antibody, Histone deacetylase like 1 antibody, MRXS6 antibody, RPD 3 antibody, RPD3 antibody, WTS antibody

    UniProt

    Q9BY41

    Pathways

    Cellular Glucan Metabolic Process
You are here:
Chat with us!