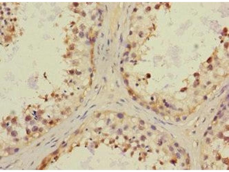
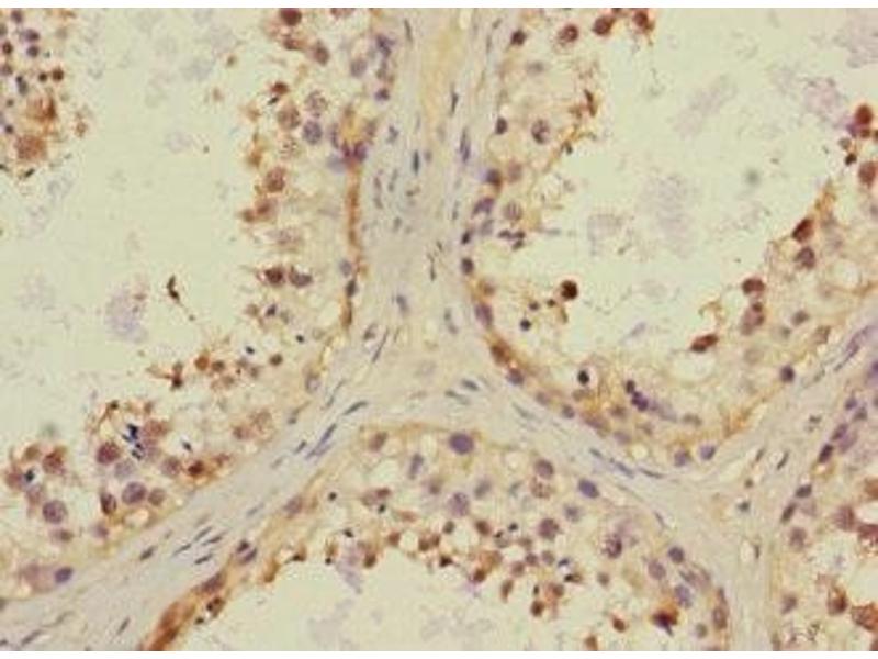
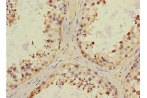
CHRNA6 antibody (AA 26-239)
Quick Overview for CHRNA6 antibody (AA 26-239) (ABIN7161348)
Target
See all CHRNA6 AntibodiesReactivity
Host
Clonality
Conjugate
Application
-
-
Binding Specificity
- AA 26-239
-
Purpose
- CHRNA6 Antibody
-
Purification
- Antigen Affinity Purified
-
Immunogen
- Recombinant Human Neuronal acetylcholine receptor subunit alpha-6 protein (26-239AA)
-
Isotype
- IgG
-
-
-
-
Application Notes
- Optimal working dilution should be determined by the investigator.
-
Restrictions
- For Research Use only
-
-
-
Format
- Liquid
-
Buffer
- PBS with 0.02 % sodium azide, 50 % glycerol, pH 7.3.
-
Preservative
- Sodium azide
-
Precaution of Use
- This product contains Sodium azide: a POISONOUS AND HAZARDOUS SUBSTANCE which should be handled by trained staff only.
-
Storage
- -20 °C,-80 °C
-
Storage Comment
- Upon receipt, store at -20°C or -80°C. Avoid repeated freeze.
-
-
- CHRNA6 (Cholinergic Receptor, Nicotinic, alpha 6 (CHRNA6))
-
Alternative Name
- CHRNA6
-
Background
-
Background: After binding acetylcholine, the AChR responds by an extensive change in conformation that affects all subunits and leads to opening of an ion-conducting channel across the plasma membrane.
Aliases: CHRNA6 antibody, Neuronal acetylcholine receptor subunit alpha-6 antibody
-
UniProt
- Q15825
Target
-