Phone:
+1 877 302 8632
Fax:
+1 888 205 9894 (Toll-free)
E-Mail:
orders@antibodies-online.com

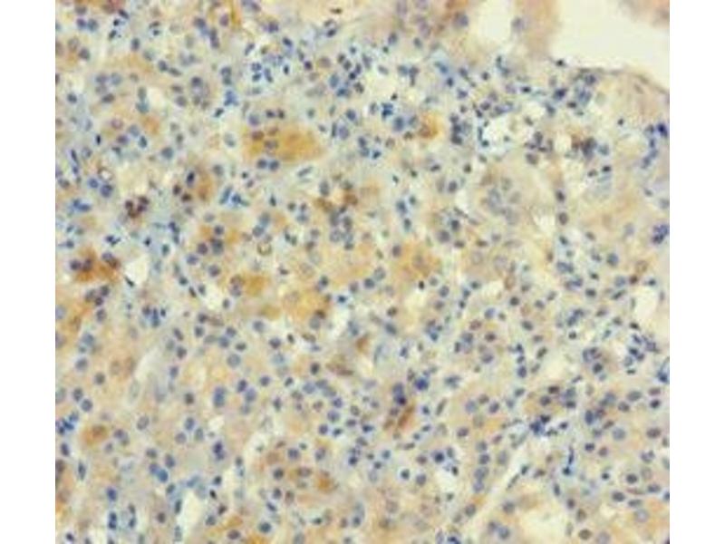
NUP153 antibody (AA 657-880)

The Rabbit Polyclonal anti-NUP153 antibody is suitable to detect NUP153 in samples from Human. It has been validated for ELISA and IHC.
Catalog No. ABIN7161819
$394.68
Plus shipping costs $50.00
Shipping to: United States
Delivery in 13 to 17 Business Days

Quick Overview for NUP153 antibody (AA 657-880) (7161819)

Target

See all NUP153 Antibodies
NUP153 (Nucleoporin 153kDa (NUP153))

Reactivity

  • 45
  • 8
  • 3
  • 2
  • 2
  • 1
  • 1
  • 1
  • 1
  • 1
  • 1
Human

Host

  • 44
  • 1
  • 1
  • 1
Rabbit

Clonality

  • 25
  • 22
Polyclonal

Conjugate

  • 27
  • 3
  • 2
  • 2
  • 2
  • 2
  • 2
  • 2
  • 2
  • 1
  • 1
  • 1
This NUP153 antibody is un-conjugated

Application

  • 35
  • 17
  • 16
  • 16
  • 11
  • 8
  • 4
  • 2
  • 1
  • 1
ELISA, Immunohistochemistry (IHC)
  • Binding Specificity

    • 4
    • 4
    • 3
    • 2
    • 2
    • 2
    • 2
    • 2
    • 1
    • 1
    • 1
    • 1
    AA 657-880

    Purpose

    NUP153 Antibody

    Purification

    Protein G purified

    Purity

    >95 %

    Immunogen

    Recombinant Human Nuclear pore complex protein Nup153 protein (657-880AA)

    Isotype

    IgG
  • Application Notes

    Optimal working dilution should be determined by the investigator.

    Restrictions

    For Research Use only
  • Format

    Liquid

    Buffer

    Preservative: 0.03 % Proclin 300
    Constituents: 50 % Glycerol, 0.01M PBS, PH 7.4

    Preservative

    ProClin

    Precaution of Use

    This product contains ProClin: a POISONOUS AND HAZARDOUS SUBSTANCE which should be handled by trained staff only.

    Storage

    -20 °C,-80 °C

    Storage Comment

    Upon receipt, store at -20°C or -80°C. Avoid repeated freeze.
  • Target

    NUP153 (Nucleoporin 153kDa (NUP153))

    Alternative Name

    NUP153

    Background

    Background: Component of the nuclear pore complex (NPC), a complex required for the trafficking across the nuclear envelope. Functions as a scaffolding element in the nuclear phase of the NPC essential for normal nucleocytoplasmic transport of proteins and mRNAs. Involved in the quality control and retention of unspliced mRNAs in the nucleus, in association with TPR, regulates the nuclear export of unspliced mRNA species bearing constitutive transport element (CTE) in a NXF1- and KHDRBS1-independent manner. Mediates TPR anchoring to the nuclear membrane at NPC. The repeat-containing domain may be involved in anchoring other components of the NPC to the pore membrane. Possible DNA-binding subunit of the nuclear pore complex (NPC).

    Aliases: 153 kDa nucleoporin antibody, HNUP153 antibody, N153 antibody, NU153_HUMAN antibody, Nuclear pore complex protein hnup153 antibody, Nuclear pore complex protein Nup153 antibody, Nucleoporin 153 kDa antibody, Nucleoporin Nup153 antibody, Nup 153 antibody, Nup153 antibody

    UniProt

    P49790

    Pathways

    Protein targeting to Nucleus
You are here:
Chat with us!