Phone:
+1 877 302 8632
Fax:
+1 888 205 9894 (Toll-free)
E-Mail:
orders@antibodies-online.com

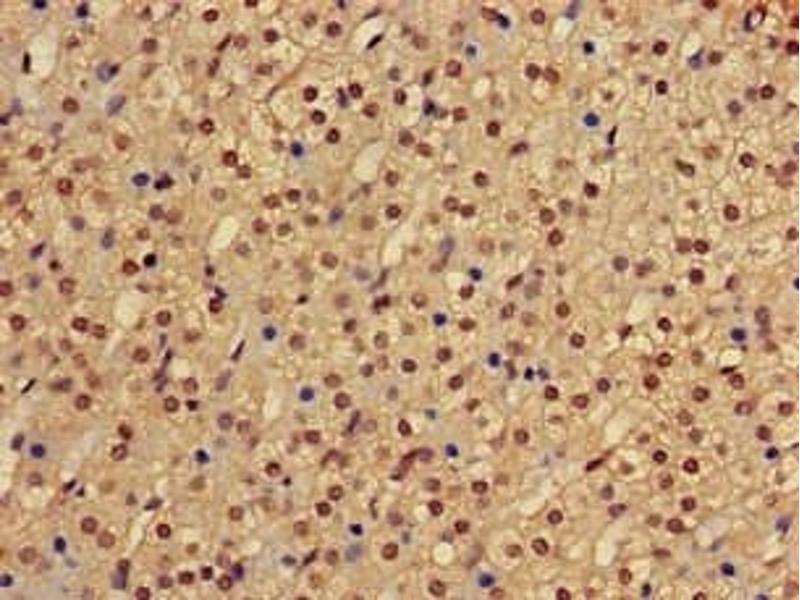
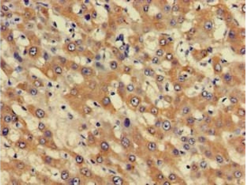
PHF21A antibody (AA 312-487)

The Rabbit Polyclonal anti-PHF21A antibody is suitable to detect PHF21A in samples from Human. It has been validated for WB, ELISA, IHC and IF.
Catalog No. ABIN7163052
$394.68
Plus shipping costs $50.00
Shipping to: United States
Delivery in 13 to 17 Business Days

Quick Overview for PHF21A antibody (AA 312-487) (ABIN7163052)

Target

See all PHF21A Antibodies
PHF21A (PHD Finger Protein 21A (PHF21A))

Reactivity

  • 43
  • 15
  • 7
  • 5
  • 4
  • 3
  • 3
  • 2
  • 2
  • 2
  • 1
  • 1
  • 1
Human

Host

  • 40
  • 3
Rabbit

Clonality

  • 41
  • 2
Polyclonal

Conjugate

  • 21
  • 3
  • 3
  • 2
  • 2
  • 2
  • 2
  • 2
  • 2
  • 2
  • 1
  • 1
This PHF21A antibody is un-conjugated

Application

  • 25
  • 18
  • 3
  • 2
  • 1
  • 1
  • 1
  • 1
  • 1
  • 1
  • 1
  • 1
  • 1
Western Blotting (WB), ELISA, Immunohistochemistry (IHC), Immunofluorescence (IF)
  • Binding Specificity

    • 8
    • 5
    • 2
    • 2
    • 2
    • 2
    • 2
    • 2
    • 1
    • 1
    • 1
    • 1
    • 1
    • 1
    AA 312-487

    Purpose

    PHF21A Antibody

    Cross-Reactivity

    Mouse

    Purification

    Protein G purified

    Purity

    >95 %

    Immunogen

    Recombinant Human PHD finger protein 21A protein (312-487AA)

    Isotype

    IgG
  • Application Notes

    Optimal working dilution should be determined by the investigator.

    Restrictions

    For Research Use only
  • Format

    Liquid

    Buffer

    Preservative: 0.03 % Proclin 300
    Constituents: 50 % Glycerol, 0.01M PBS, pH 7.4

    Preservative

    ProClin

    Precaution of Use

    This product contains ProClin: a POISONOUS AND HAZARDOUS SUBSTANCE which should be handled by trained staff only.

    Storage

    -20 °C,-80 °C

    Storage Comment

    Upon receipt, store at -20°C or -80°C. Avoid repeated freeze.
  • Target

    PHF21A (PHD Finger Protein 21A (PHF21A))

    Alternative Name

    PHF21A

    Background

    Background: Component of the BHC complex, a corepressor complex that represses transcription of neuron-specific genes in non-neuronal cells. The BHC complex is recruited at RE1/NRSE sites by REST and acts by deacetylating and demethylating specific sites on histones, thereby acting as a chromatin modifier. In the BHC complex, it may act as a scaffold. Inhibits KDM1A-mediated demethylation of \\\'Lys-4\\\' of histone H3 in vitro, suggesting a role in demethylation regulation.

    Aliases: BHC80a antibody, BM-006 antibody, BRAF35-HDAC complex protein BHC80 antibody, BRAF35/HDAC2 complex (80 kDa) antibody, KIAA1696 antibody, PF21A_HUMAN antibody, PHD finger protein 21A antibody, PHF21A antibody

    UniProt

    Q96BD5

    Pathways

    Feeding Behaviour
You are here:
Chat with us!