Phone:
+1 877 302 8632
Fax:
+1 888 205 9894 (Toll-free)
E-Mail:
orders@antibodies-online.com

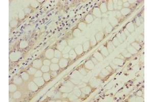
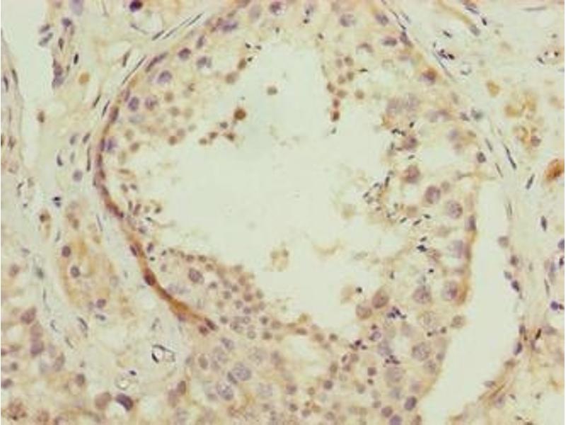
NSUN7 antibody (AA 1-300)

The Rabbit Polyclonal anti-NSUN7 antibody (ABIN7166731) specifically detects NSUN7 in ELISA and IHC. The antibody is reactive with Human samples.
Catalog No. ABIN7166731
$394.68
Plus shipping costs $50.00
Shipping to: United States
Delivery in 13 to 17 Business Days

Quick Overview for NSUN7 antibody (AA 1-300) (ABIN7166731)

Target

See all NSUN7 Antibodies
NSUN7 (NOP2/Sun Domain Family, Member 7 (NSUN7))

Reactivity

  • 6
  • 1
  • 1
Human

Host

  • 6
Rabbit

Clonality

  • 6
Polyclonal

Conjugate

  • 2
  • 2
  • 1
  • 1
This NSUN7 antibody is un-conjugated

Application

  • 4
  • 2
  • 1
  • 1
ELISA, Immunohistochemistry (IHC)
  • Binding Specificity

    • 4
    • 1
    • 1
    AA 1-300

    Purpose

    NSUN7 Antibody

    Purification

    Protein G purified

    Purity

    >95 %

    Immunogen

    Recombinant Human Putative methyltransferase NSUN7 protein (1-300AA)

    Isotype

    IgG
  • Application Notes

    Optimal working dilution should be determined by the investigator.

    Restrictions

    For Research Use only
  • Format

    Liquid

    Buffer

    Preservative: 0.03 % Proclin 300
    Constituents: 50 % Glycerol, 0.01M PBS, PH 7.4

    Preservative

    ProClin

    Precaution of Use

    This product contains ProClin: a POISONOUS AND HAZARDOUS SUBSTANCE which should be handled by trained staff only.

    Storage

    -20 °C,-80 °C

    Storage Comment

    Upon receipt, store at -20°C or -80°C. Avoid repeated freeze.
  • Target

    NSUN7 (NOP2/Sun Domain Family, Member 7 (NSUN7))

    Alternative Name

    NSUN7

    Background

    Background: May have S-adenosyl-L-methionine-dependent methyl-transferase activity.

    Aliases: NSUN7Putative methyltransferase NSUN7 antibody, EC 2.1.1.- antibody, NOL1/NOP2/Sun domain family member 7 antibody

    UniProt

    Q8NE18
You are here:
Chat with us!