Phone:
+1 877 302 8632
Fax:
+1 888 205 9894 (Toll-free)
E-Mail:
orders@antibodies-online.com

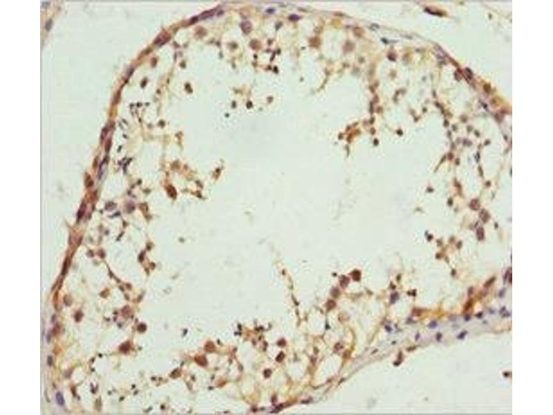
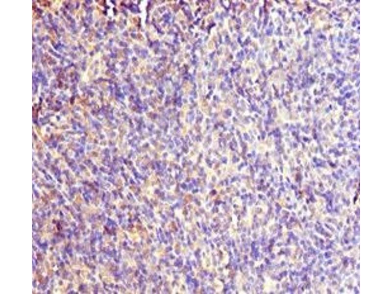
RACGAP1 antibody (AA 353-632)

The Rabbit Polyclonal anti-RACGAP1 antibody (ABIN7167019) specifically detects RACGAP1 in WB, IHC and ELISA. The antibody is reactive with Human samples.
Catalog No. ABIN7167019
$394.68
Plus shipping costs $50.00
Shipping to: United States
Delivery in 13 to 17 Business Days

Quick Overview for RACGAP1 antibody (AA 353-632) (ABIN7167019)

Target

See all RACGAP1 Antibodies
RACGAP1 (Rac GTPase Activating Protein 1 (RACGAP1))

Reactivity

  • 85
  • 39
  • 33
  • 8
  • 6
  • 5
  • 5
  • 5
  • 5
  • 2
  • 2
Human

Host

  • 94
  • 4
  • 1
  • 1
Rabbit

Clonality

  • 84
  • 16
Polyclonal

Conjugate

  • 48
  • 5
  • 5
  • 4
  • 2
  • 2
  • 2
  • 2
  • 2
  • 2
  • 2
  • 2
  • 2
  • 2
  • 2
  • 2
  • 2
  • 2
  • 2
  • 2
  • 2
  • 1
  • 1
  • 1
  • 1
This RACGAP1 antibody is un-conjugated

Application

  • 87
  • 39
  • 39
  • 34
  • 27
  • 26
  • 22
  • 15
  • 12
  • 7
  • 6
  • 2
  • 1
  • 1
Western Blotting (WB), Immunohistochemistry (IHC), ELISA
  • Binding Specificity

    • 19
    • 15
    • 8
    • 8
    • 5
    • 5
    • 2
    • 2
    • 2
    • 2
    • 1
    • 1
    • 1
    • 1
    • 1
    • 1
    • 1
    • 1
    • 1
    • 1
    • 1
    • 1
    AA 353-632

    Purpose

    RACGAP1 Antibody

    Purification

    Antigen Affinity Purified

    Immunogen

    Recombinant Human Rac GTPase-activating protein 1 protein (353-632AA)

    Isotype

    IgG
  • Application Notes

    Optimal working dilution should be determined by the investigator.

    Restrictions

    For Research Use only
  • Format

    Liquid

    Buffer

    PBS with 0.02 % sodium azide, 50 % glycerol, pH 7.3.

    Preservative

    Sodium azide

    Precaution of Use

    This product contains Sodium azide: a POISONOUS AND HAZARDOUS SUBSTANCE which should be handled by trained staff only.

    Storage

    -20 °C,-80 °C

    Storage Comment

    Upon receipt, store at -20°C or -80°C. Avoid repeated freeze.
  • Target

    RACGAP1 (Rac GTPase Activating Protein 1 (RACGAP1))

    Alternative Name

    RACGAP1

    Background

    Background: Component of the centralspindlin complex that serves as a microtubule-dependent and Rho-mediated signaling required for the myosin contractile ring formation during the cell cycle cytokinesis. Required for proper attachment of the midbody to the cell membrane during cytokinesis. Plays key roles in controlling cell growth and differentiation of hematopoietic cells through mechanisms other than regulating Rac GTPase activity. Also involved in the regulation of growth-related processes in adipocytes and myoblasts. May be involved in regulating spermatogenesis and in the RACGAP1 pathway in neuronal proliferation. Shows strong GAP (GTPase activation) activity towards CDC42 and RAC1 and less towards RHOA. Essential for the early stages of embryogenesis. May play a role in regulating cortical activity through RHOA during cytokinesis. May participate in the regulation of sulfate transport in male germ cells.

    Aliases: CYK4 antibody, GAP antibody, Gap1 antibody, GTPase activating protein antibody, HsCYK-4 antibody, ID GAP antibody, KIAA1478 antibody, Male germ cell RacGap antibody, MgcRacGAP antibody, Protein CYK4 homolg antibody, Protein CYK4 homolog antibody, Rac GTPase activating protein 1 antibody, Rac GTPase-activating protein 1 antibody, RACGAP 1 antibody, Racgap1 antibody, RGAP1_HUMAN antibody

    UniProt

    Q9H0H5

    Pathways

    Regulation of Actin Filament Polymerization, Myometrial Relaxation and Contraction, Regulation of G-Protein Coupled Receptor Protein Signaling, Signaling of Hepatocyte Growth Factor Receptor
You are here:
Chat with us!