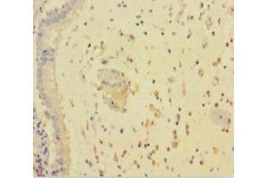
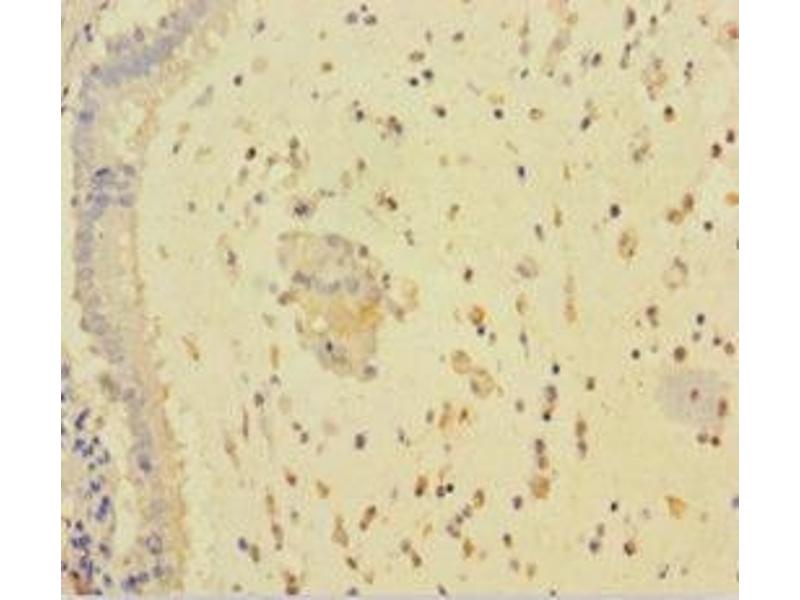
RARRES3 antibody (AA 1-133)
Quick Overview for RARRES3 antibody (AA 1-133) (ABIN7167811)
Target
See all RARRES3 AntibodiesReactivity
Host
Clonality
Conjugate
Application
-
-
Binding Specificity
- AA 1-133
-
Purpose
- RARRES3 Antibody
-
Purification
- Protein G purified
-
Purity
- >95 %
-
Immunogen
- Recombinant Human Retinoic acid receptor responder protein 3 protein (1-133AA)
-
Isotype
- IgG
-
-
-
-
Application Notes
- Optimal working dilution should be determined by the investigator.
-
Restrictions
- For Research Use only
-
-
-
Format
- Liquid
-
Buffer
-
Preservative: 0.03 % Proclin 300
Constituents: 50 % Glycerol, 0.01M PBS, PH 7.4 -
Preservative
- ProClin
-
Precaution of Use
- This product contains ProClin: a POISONOUS AND HAZARDOUS SUBSTANCE which should be handled by trained staff only.
-
Storage
- -20 °C,-80 °C
-
Storage Comment
- Upon receipt, store at -20°C or -80°C. Avoid repeated freeze.
-
-
- RARRES3 (Retinoic Acid Receptor Responder (Tazarotene Induced) 3 (RARRES3))
-
Alternative Name
- RARRES3
-
Background
-
Background: Exhibits PLA1/2 activity, catalyzing the calcium-independent hydrolysis of acyl groups in various phosphotidylcholines (PC) and phosphatidylethanolamine (PE). For most substrates, PLA1 activity is much higher than PLA2 activity. N- and O-acylation activity is hardly detectable.
Aliases: HRASLS4 antibody, MGC8906 antibody, RAR responsive protein TIG3 antibody, RAR-responsive protein TIG3 antibody, RARRES3 antibody, Retinic acid inducible gene 1 antibody, Retinoic acid receptor responder (tazarotene induced) 3 antibody, Retinoic acid receptor responder protein 3 antibody, Retinoid inducible gene 1 protein antibody, Retinoid-inducible gene 1 protein antibody, RIG 1 antibody, rig1 antibody, Tazarotene induced gene 3 protein antibody, Tazarotene-induced gene 3 protein antibody, TIG 3 antibody, TIG3 antibody, TIG3_HUMAN antibody
-
UniProt
- Q9UL19
Target
-