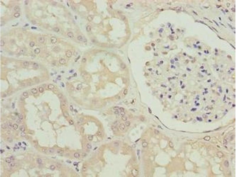
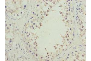
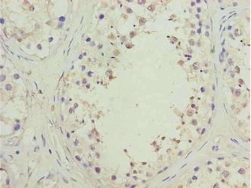
SPACA1 antibody (AA 30-221)
Quick Overview for SPACA1 antibody (AA 30-221) (ABIN7170448)
Target
See all SPACA1 AntibodiesReactivity
Host
Clonality
Conjugate
Application
-
-
Binding Specificity
- AA 30-221
-
Purpose
- SPACA1 Antibody
-
Purification
- Protein G purified
-
Purity
- >95 %
-
Immunogen
- Recombinant Human Sperm acrosome membrane-associated protein 1 protein (30-221AA)
-
Isotype
- IgG
-
-
-
-
Application Notes
- Optimal working dilution should be determined by the investigator.
-
Restrictions
- For Research Use only
-
-
-
Format
- Liquid
-
Buffer
-
Preservative: 0.03 % Proclin 300
Constituents: 50 % Glycerol, 0.01M PBS, PH 7.4 -
Preservative
- ProClin
-
Precaution of Use
- This product contains ProClin: a POISONOUS AND HAZARDOUS SUBSTANCE which should be handled by trained staff only.
-
Storage
- -20 °C,-80 °C
-
Storage Comment
- Upon receipt, store at -20°C or -80°C. Avoid repeated freeze.
-
-
- SPACA1 (Sperm Acrosome Associated 1 (SPACA1))
-
Alternative Name
- SPACA1
-
Background
-
Background: May be involved in sperm-egg fusion.
Aliases: SACA1_HUMAN antibody, SAMP32 antibody, SPACA1 antibody, Sperm acrosomal membrane-associated protein 32 antibody, Sperm acrosome membrane-associated protein 1 antibody
-
UniProt
- Q9HBV2
Target
-