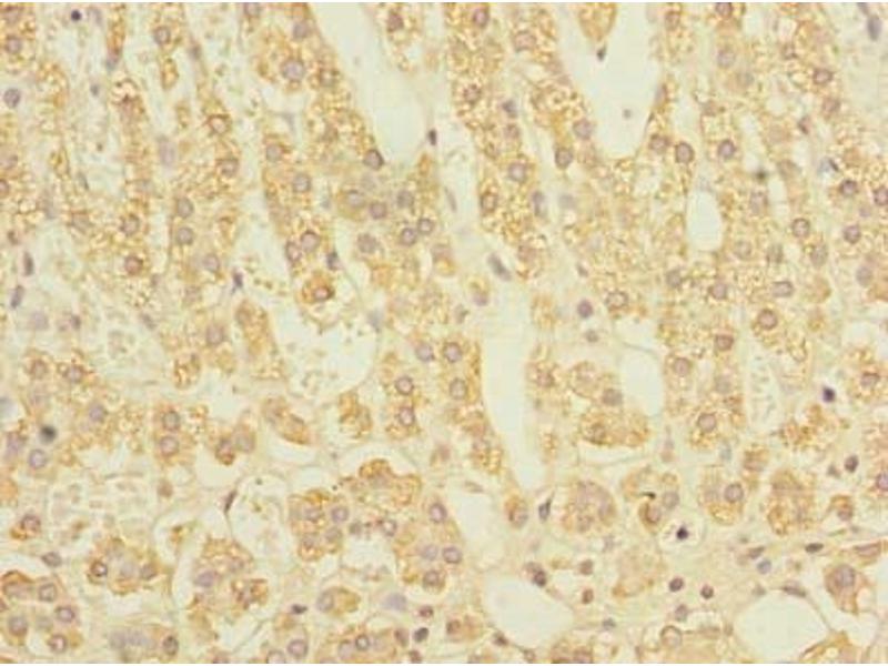
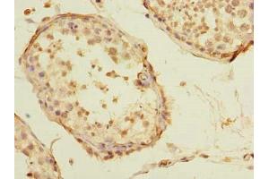
STAR antibody (AA 64-285)
Quick Overview for STAR antibody (AA 64-285) (ABIN7170766)
Target
See all STAR AntibodiesReactivity
Host
Clonality
Conjugate
Application
-
-
Binding Specificity
- AA 64-285
-
Purpose
- STAR Antibody
-
Purification
- Protein G purified
-
Purity
- >95 %
-
Immunogen
- Recombinant Human Steroidogenic acute regulatory protein, mitochondrial protein (64-285AA)
-
Isotype
- IgG
-
-
-
-
Application Notes
- Optimal working dilution should be determined by the investigator.
-
Restrictions
- For Research Use only
-
-
-
Format
- Liquid
-
Buffer
-
Preservative: 0.03 % Proclin 300
Constituents: 50 % Glycerol, 0.01M PBS, PH 7.4 -
Preservative
- ProClin
-
Precaution of Use
- This product contains ProClin: a POISONOUS AND HAZARDOUS SUBSTANCE which should be handled by trained staff only.
-
Storage
- -20 °C,-80 °C
-
Storage Comment
- Upon receipt, store at -20°C or -80°C. Avoid repeated freeze.
-
-
- STAR (Steroidogenic Acute Regulatory Protein (STAR))
-
Alternative Name
- STAR
-
Background
-
Background: Plays a key role in steroid hormone synthesis by enhancing the metabolism of cholesterol into pregnenolone. Mediates the transfer of cholesterol from the outer mitochondrial membrane to the inner mitochondrial membrane where it is cleaved to pregnenolone.
Aliases: Cholesterol trafficker antibody, Luteinizing hormone induced protein antibody, mitochondrial antibody, Mitochondrial steroid acute regulatory protein antibody, StAR antibody, StAR related lipid transfer (START) domain containing 1 antibody, STAR_HUMAN antibody, StARD1 antibody, START domain containing 1 antibody, START domain containing protein 1 antibody, START domain-containing protein 1 antibody, Steroid acute regulatory protein antibody, Steroidogenic acute regulator antibody, Steroidogenic acute regulatory protein antibody, Steroidogenic acute regulatory protein mitochondrial antibody
-
UniProt
- P49675
-
Pathways
- Metabolism of Steroid Hormones and Vitamin D, Response to Growth Hormone Stimulus, C21-Steroid Hormone Metabolic Process, Cellular Response to Molecule of Bacterial Origin, Carbohydrate Homeostasis
Target
-