Phone:
+1 877 302 8632
Fax:
+1 888 205 9894 (Toll-free)
E-Mail:
orders@antibodies-online.com

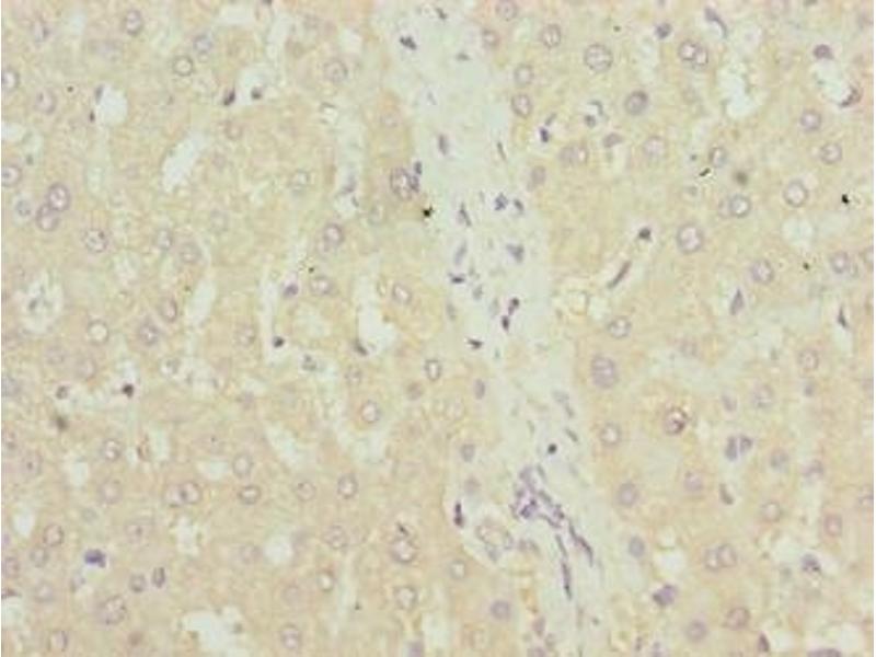
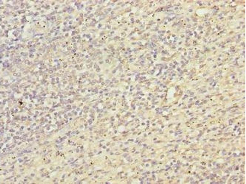
TXNRD1 antibody (AA 1-497)

This Rabbit Polyclonal antibody specifically detects TXNRD1 in WB, IHC and ELISA. It exhibits reactivity toward Human.
Catalog No. ABIN7172018
$394.68
Plus shipping costs $50.00
Shipping to: United States
Delivery in 13 to 17 Business Days

Quick Overview for TXNRD1 antibody (AA 1-497) (ABIN7172018)

Target

See all TXNRD1 Antibodies
TXNRD1 (Thioredoxin Reductase 1 (TXNRD1))

Reactivity

  • 56
  • 38
  • 36
Human

Host

  • 53
  • 5
  • 1
Rabbit

Clonality

  • 36
  • 23
Polyclonal

Conjugate

  • 24
  • 5
  • 3
  • 2
  • 2
  • 2
  • 2
  • 2
  • 2
  • 2
  • 1
  • 1
  • 1
  • 1
  • 1
  • 1
  • 1
  • 1
  • 1
  • 1
  • 1
  • 1
  • 1
This TXNRD1 antibody is un-conjugated

Application

  • 48
  • 19
  • 15
  • 15
  • 15
  • 14
  • 13
  • 13
  • 12
  • 4
  • 3
  • 2
  • 1
Western Blotting (WB), Immunohistochemistry (IHC), ELISA
  • Binding Specificity

    • 15
    • 8
    • 2
    • 1
    • 1
    • 1
    • 1
    • 1
    • 1
    • 1
    AA 1-497

    Purpose

    TXNRD1 Antibody

    Purification

    Protein G purified

    Purity

    >95 %

    Immunogen

    Recombinant Human Thioredoxin reductase 1, cytoplasmic protein (1-497AA)

    Isotype

    IgG
  • Application Notes

    Optimal working dilution should be determined by the investigator.

    Restrictions

    For Research Use only
  • Format

    Liquid

    Buffer

    Preservative: 0.03 % Proclin 300
    Constituents: 50 % Glycerol, 0.01M PBS, PH 7.4

    Preservative

    ProClin

    Precaution of Use

    This product contains ProClin: a POISONOUS AND HAZARDOUS SUBSTANCE which should be handled by trained staff only.

    Storage

    -20 °C,-80 °C

    Storage Comment

    Upon receipt, store at -20°C or -80°C. Avoid repeated freeze.
  • Target

    TXNRD1 (Thioredoxin Reductase 1 (TXNRD1))

    Alternative Name

    TXNRD1

    Background

    Background: Isoform 1 may possess glutaredoxin activity as well as thioredoxin reductase activity and induces actin and tubulin polymerization, leading to formation of cell membrane protrusions. Isoform 4 enhances the transcriptional activity of estrogen receptors alpha and beta while isoform 5 enhances the transcriptional activity of the beta receptor only. Isoform 5 also mediates cell death induced by a combination of interferon-beta and retinoic acid.

    Aliases: cytoplasmic antibody, Gene associated with retinoic and IFN-induced mortality 12 protein antibody, Gene associated with retinoic and interferon-induced mortality 12 protein antibody, Gene associated with retinoid IFN induced mortality 12 protein antibody, GRIM 12 antibody, GRIM-12 antibody, GRIM12 antibody, KDRF antibody, KM 102 derived reductase like factor antibody, KM-102-derived reductase-like factor antibody, MGC9145 antibody, Oxidoreductase antibody, Thioredoxin reductase 1 antibody, Thioredoxin reductase 1 cytoplasmic antibody, Thioredoxin reductase GRIM 12 antibody, Thioredoxin reductase TR1 antibody, TR 1 antibody, TR antibody, TR1 antibody, TRXR 1 antibody, TRXR1 antibody, TRXR1_HUMAN antibody, TXNR antibody, TXNRD 1 antibody, Txnrd1 antibody

    UniProt

    Q16881

    Pathways

    Regulation of Lipid Metabolism by PPARalpha, Regulation of Carbohydrate Metabolic Process, Cell RedoxHomeostasis
You are here:
Chat with us!