Phone:
+1 877 302 8632
Fax:
+1 888 205 9894 (Toll-free)
E-Mail:
orders@antibodies-online.com

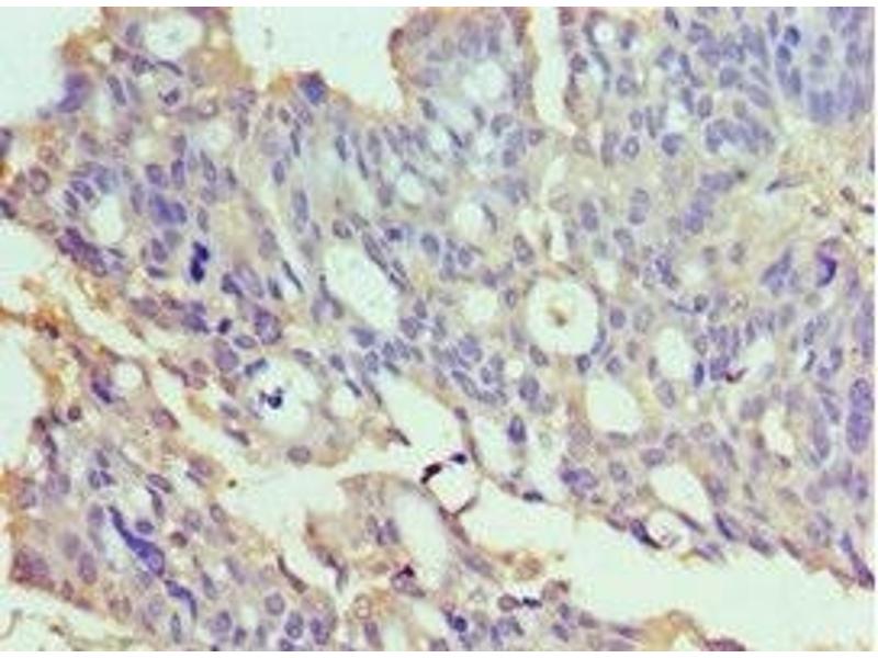
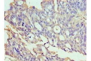
TXNRD2 antibody (AA 100-310)

The Rabbit Polyclonal anti-TXNRD2 antibody is suitable to detect TXNRD2 in samples from Human. It has been validated for WB, IHC and ELISA.
Catalog No. ABIN7172022
$394.68
Plus shipping costs $50.00
Shipping to: United States
Delivery in 13 to 17 Business Days

Quick Overview for TXNRD2 antibody (AA 100-310) (ABIN7172022)

Target

See all TXNRD2 Antibodies
TXNRD2 (Thioredoxin Reductase 2 (TXNRD2))

Reactivity

  • 46
  • 34
  • 34
  • 2
Human

Host

  • 41
  • 4
  • 1
Rabbit

Clonality

  • 26
  • 20
Polyclonal

Conjugate

  • 21
  • 3
  • 3
  • 3
  • 3
  • 3
  • 3
  • 3
  • 2
  • 2
This TXNRD2 antibody is un-conjugated

Application

  • 38
  • 29
  • 10
  • 4
  • 3
  • 2
  • 1
Western Blotting (WB), Immunohistochemistry (IHC), ELISA
  • Binding Specificity

    • 4
    • 2
    • 1
    • 1
    • 1
    • 1
    • 1
    • 1
    AA 100-310

    Purpose

    TXNRD2 Antibody

    Cross-Reactivity

    Mouse

    Purification

    Antigen Affinity Purified

    Immunogen

    Recombinant Human Thioredoxin reductase 2, mitochondrial protein (100-310AA)

    Isotype

    IgG
  • Application Notes

    Optimal working dilution should be determined by the investigator.

    Restrictions

    For Research Use only
  • Format

    Liquid

    Buffer

    PBS with 0.02 % sodium azide, 50 % glycerol, pH 7.3.

    Preservative

    Sodium azide

    Precaution of Use

    This product contains Sodium azide: a POISONOUS AND HAZARDOUS SUBSTANCE which should be handled by trained staff only.

    Storage

    -20 °C,-80 °C

    Storage Comment

    Upon receipt, store at -20°C or -80°C. Avoid repeated freeze.
  • Target

    TXNRD2 (Thioredoxin Reductase 2 (TXNRD2))

    Alternative Name

    TXNRD2

    Background

    Background: Maintains thioredoxin in a reduced state. Implicated in the defenses against oxidative stress. May play a role in redox-regulated cell signaling.

    Aliases: mitochondrial antibody, Selenoprotein Z antibody, SelZ antibody, Thioredoxin reductase 2 antibody, Thioredoxin reductase 2 mitochondrial antibody, Thioredoxin reductase 3 antibody, Thioredoxin reductase beta antibody, Thioredoxin reductase TR3 antibody, TR 3 antibody, TR antibody, TR beta antibody, TR-beta antibody, TR3 antibody, TRXR 2 antibody, TRXR2 antibody, TRXR2_HUMAN antibody, TXNRD 2 antibody, Txnrd2 antibody

    UniProt

    Q9NNW7

    Pathways

    Cell RedoxHomeostasis
You are here:
Chat with us!