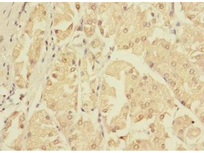
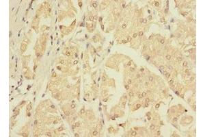
ZNF624 antibody (AA 127-327)
Quick Overview for ZNF624 antibody (AA 127-327) (ABIN7176445)
Target
See all ZNF624 AntibodiesReactivity
Host
Clonality
Conjugate
Application
-
-
Binding Specificity
- AA 127-327
-
Purpose
- ZNF624 Antibody
-
Purification
- Protein G purified
-
Purity
- >95 %
-
Immunogen
- Recombinant Human Zinc finger protein 624 protein (127-327AA)
-
Isotype
- IgG
-
-
-
-
Application Notes
- Optimal working dilution should be determined by the investigator.
-
Restrictions
- For Research Use only
-
-
-
Format
- Liquid
-
Buffer
-
Preservative: 0.03 % Proclin 300
Constituents: 50 % Glycerol, 0.01M PBS, PH 7.4 -
Preservative
- ProClin
-
Precaution of Use
- This product contains ProClin: a POISONOUS AND HAZARDOUS SUBSTANCE which should be handled by trained staff only.
-
Storage
- -20 °C,-80 °C
-
Storage Comment
- Upon receipt, store at -20°C or -80°C. Avoid repeated freeze.
-
-
- ZNF624 (Zinc Finger Protein 624 (ZNF624))
-
Alternative Name
- ZNF624
-
Background
-
Background: May be involved in transcriptional regulation.
Aliases: ZNF624 antibody, KIAA1349 antibody, Zinc finger protein 624 antibody
-
UniProt
- Q9P2J8
Target
-