Phone:
+1 877 302 8632
Fax:
+1 888 205 9894 (Toll-free)
E-Mail:
orders@antibodies-online.com

FZD2 antibody

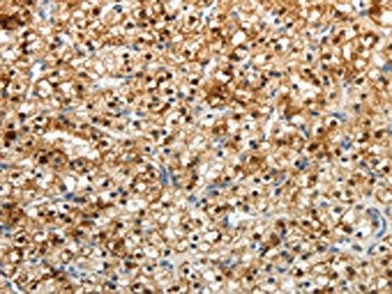
The Rabbit Polyclonal anti-FZD2 antibody (ABIN7190724) specifically detects FZD2 in ELISA and IHC. The antibody is reactive with Human samples.
Catalog No. ABIN7190724
$394.68
Plus shipping costs $50.00
Shipping to: United States
Delivery in 13 to 17 Business Days

Quick Overview for FZD2 antibody (ABIN7190724)

Target

See all FZD2 Antibodies
FZD2 (Frizzled Family Receptor 2 (FZD2))

Reactivity

  • 41
  • 19
  • 17
  • 4
  • 4
  • 4
  • 2
  • 2
  • 2
  • 1
Human

Host

  • 39
  • 2
  • 2
  • 2
Rabbit

Clonality

  • 41
  • 4
Polyclonal

Conjugate

  • 32
  • 3
  • 1
  • 1
  • 1
  • 1
  • 1
  • 1
  • 1
  • 1
  • 1
  • 1
This FZD2 antibody is un-conjugated

Application

  • 30
  • 18
  • 8
  • 6
  • 6
  • 1
  • 1
  • 1
  • 1
  • 1
ELISA, Immunohistochemistry (IHC)
  • Purpose

    FZD2 Antibody

    Cross-Reactivity

    Mouse, Rat

    Purification

    Antigen affinity purification

    Immunogen

    Synthetic peptide of Human FZD2

    Isotype

    IgG
  • Application Notes

    Optimal working dilution should be determined by the investigator.

    Restrictions

    For Research Use only
  • Format

    Liquid

    Buffer

     pH 7.4 PBS, 0.05 % Sodium azide, 40 % Glycerol

    Preservative

    Sodium azide

    Precaution of Use

    This product contains Sodium azide: a POISONOUS AND HAZARDOUS SUBSTANCE which should be handled by trained staff only.

    Storage

    -20 °C,-80 °C

    Storage Comment

    Upon receipt, store at -20°C or -80°C. Avoid repeated freeze.
  • Target

    FZD2 (Frizzled Family Receptor 2 (FZD2))

    Alternative Name

    FZD2

    Background

    Background: This intronless gene is a member of the frizzled gene family. Members of this family encode seven-transmembrane domain proteins that are receptors for the wingless type MMTV integration site family of signaling proteins. This gene encodes a protein that is coupled to the beta-catenin canonical signaling pathway. Competition between the wingless-type MMTV integration site family, member 3A and wingless-type MMTV integration site family, member 5A gene products for binding of this protein is thought to regulate the beta-catenin-dependent and -independent pathways.

    Aliases: Frizzled homolog 2 antibody, Frizzled-2 antibody, Frizzled2 antibody, Fz 2 antibody, Fz-2 antibody, Fz2 antibody, FZD 2 antibody, FZD2 antibody, FZD2_HUMAN antibody, FzE 2 antibody, FzE2 antibody, hFz 2 antibody, hFz2 antibody, Mfz10 antibody

    UniProt

    Q14332

    Pathways

    WNT Signaling
You are here:
Chat with us!