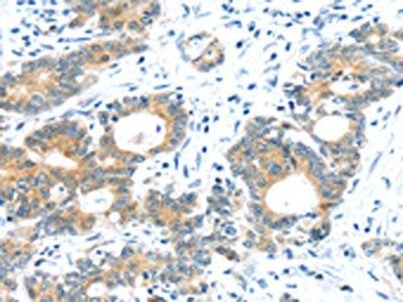
TUSC1 antibody
Quick Overview for TUSC1 antibody (ABIN7192957)
Target
See all TUSC1 AntibodiesReactivity
Host
Clonality
Conjugate
Application
-
-
Purpose
- TUSC1 Antibody
-
Purification
- Antigen affinity purification
-
Immunogen
- Synthetic peptide of Human TUSC1
-
Isotype
- IgG
-
-
-
-
Application Notes
- Optimal working dilution should be determined by the investigator.
-
Restrictions
- For Research Use only
-
-
-
Format
- Liquid
-
Buffer
- pH 7.4 PBS, 0.05 % Sodium azide, 40 % Glycerol
-
Preservative
- Sodium azide
-
Precaution of Use
- This product contains Sodium azide: a POISONOUS AND HAZARDOUS SUBSTANCE which should be handled by trained staff only.
-
Storage
- -20 °C,-80 °C
-
Storage Comment
- Upon receipt, store at -20°C or -80°C. Avoid repeated freeze.
-
-
- TUSC1 (Tumor Suppressor Candidate 1 (TUSC1))
-
Alternative Name
- TUSC1
-
Background
-
Background: This gene is located within the region of chromosome 9p that harbors tumor suppressor genes critical in carcinogenesis. It is an intronless gene which is downregulated in non-small-cell lung cancer and small-cell lung cancer cell lines, suggesting that it may play a role in lung tumorigenesis.
Aliases: tumor suppressor candidate 1
-
UniProt
- Q2TAM9
Target
-