Phone:
+1 877 302 8632
Fax:
+1 888 205 9894 (Toll-free)
E-Mail:
orders@antibodies-online.com

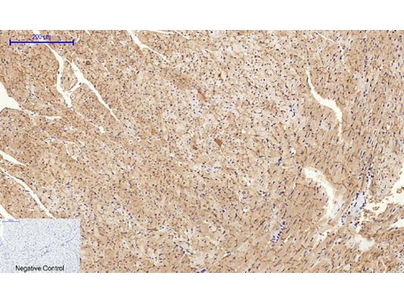
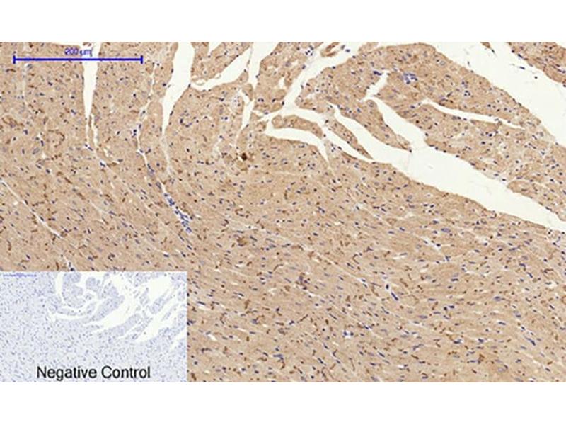
Connexin 43/GJA1 antibody (AA 310-390)

The Rabbit Polyclonal anti-Connexin 43/GJA1 antibody is suitable to detect Connexin 43/GJA1 in samples from Human, Mouse and Rat. It has been validated for WB, IHC, ELISA and IF.
Catalog No. ABIN7204290
$367.10
Plus shipping costs $50.00
100 μL
Shipping to: United States
Delivery in 12 to 16 Business Days

Quick Overview for Connexin 43/GJA1 antibody (AA 310-390) (ABIN7204290)

Target

See all Connexin 43/GJA1 (GJA1) Antibodies
Connexin 43/GJA1 (GJA1) (Gap Junction Protein, alpha 1, 43kDa (GJA1))

Reactivity

  • 133
  • 90
  • 87
  • 31
  • 11
  • 10
  • 8
  • 8
  • 8
  • 7
  • 6
  • 4
  • 4
  • 3
  • 2
  • 2
  • 2
  • 1
  • 1
  • 1
  • 1
  • 1
  • 1
  • 1
  • 1
Human, Mouse, Rat

Host

  • 132
  • 8
  • 3
  • 1
  • 1
Rabbit

Clonality

  • 134
  • 10
Polyclonal

Conjugate

  • 89
  • 6
  • 4
  • 4
  • 4
  • 4
  • 4
  • 4
  • 3
  • 2
  • 2
  • 2
  • 2
  • 2
  • 2
  • 1
  • 1
  • 1
  • 1
  • 1
  • 1
  • 1
  • 1
  • 1
  • 1
  • 1
This Connexin 43/GJA1 antibody is un-conjugated

Application

  • 100
  • 59
  • 54
  • 25
  • 20
  • 17
  • 13
  • 13
  • 11
  • 11
  • 7
  • 4
  • 2
  • 2
  • 1
  • 1
Western Blotting (WB), Immunohistochemistry (IHC), ELISA, Immunofluorescence (IF)
  • Binding Specificity

    • 19
    • 16
    • 11
    • 8
    • 8
    • 8
    • 7
    • 7
    • 7
    • 4
    • 3
    • 3
    • 3
    • 3
    • 2
    • 2
    • 2
    • 2
    • 2
    • 2
    • 2
    • 1
    • 1
    • 1
    • 1
    • 1
    • 1
    • 1
    • 1
    • 1
    • 1
    • 1
    • 1
    • 1
    • 1
    • 1
    • 1
    • 1
    • 1
    AA 310-390

    Purpose

    Rabbit Anti-Connexin 43 Polyclonal Antibody

    Specificity

    Connexin 43 Polyclonal Antibody detects endogenous levels of Connexin 43 protein.

    Purification

    The antibody was affinity-purified from rabbit antiserum by affinity-chromatography using epitope-specific immunogen.

    Immunogen

    Synthesized peptide derived from the C-terminal region of human Connexin 43 at AA range: 310-390

    Isotype

    IgG
  • Application Notes

    Optimal working dilutions should be determined experimentally by the investigator. Suggested starting dilutions are as follows: WB 1:500-1:2000,IHC: 1:100-300,ELISA 1:20000,IF 1:100-300,Not yet tested in other applications.

    Restrictions

    For Research Use only
  • Format

    Liquid

    Concentration

    1 mg/mL

    Buffer

    Liquid in PBS containing 50 % glycerol, 0.5 % BSA and 0.02 % sodium azide.

    Preservative

    Sodium azide

    Precaution of Use

    This product contains Sodium azide: a POISONOUS AND HAZARDOUS SUBSTANCE which should be handled by trained staff only.

    Storage

    -20 °C

    Storage Comment

    Stable for one year at -20°C from date of shipment. For maximum recovery of product, centrifuge the original vial after thawing and prior to removing the cap. Aliquot to avoid repeated freezing and thawing.

    Expiry Date

    12 months
  • Target

    Connexin 43/GJA1 (GJA1) (Gap Junction Protein, alpha 1, 43kDa (GJA1))

    Alternative Name

    Connexin 43

    Background

    GJA1, GJAL, Gap junction alpha-1 protein, Connexin-43, Cx43, Gap junction 43 kDa heart proteinGJA1 is a member of the connexin gene family. Gap junction protein alpha 1 is a component of gap junctions, which are composed of arrays of intercellular channels that provide a route for the diffusion of low molecular weight materials from cell to cell. Gap junction protein alpha 1 is the major protein of gap junctions in the heart that are thought to have a crucial role in the synchronized contraction of the heart and in embryonic development. A related intronless pseudogene has been mapped to chromosome 5. Mutations in GJA1 have been associated with oculodentodigital dysplasia, autosomal recessive craniometaphyseal dysplasia and heart malformations.

    Molecular Weight

    43kD

    Gene ID

    2697

    UniProt

    P17302

    Pathways

    MAPK Signaling, Myometrial Relaxation and Contraction, Cell-Cell Junction Organization
You are here:
Chat with us!